مراحل لمینت دندان؛ از مشاوره تا لبخند نهایی

در بین خدمات زیبایی دندانپزشکی، هیچ روشی به اندازه لمینت دندان نمی تواند زیبایی چهره شما را چندین برابر کند. اما برای رسیدن به دندان های سفید و طبیعی، باید با مراحل لمینت دندان آشنا باشید. از مشاوره اولیه گرفته تا نصب نهایی، تمامی این مراحل نقش مهمی در کیفیت و ماندگاری لمینت دندان دارد.
اگر شما هم می خواهید به دندان های سفید و زیبا دست یابید، با ما در ادامه همراه باشید تا درباره تمام جزئیات مراحل لمینت به زبانی ساده و کاربردی اطلاعات در اختیار شما قرار دهیم.
مرحله | توضیحات | مدت زمان تقریبی |
مشاوره و معاینه اولیه | در اولین جلسه، دندانپزشک وضعیت دندان ها، سلامت لثه ها و فرم لبخند را بررسی می کند. اگر نیاز به درمان های مقدماتی مانند جرم گیری یا پرکردن دندان باشد، ابتدا انجام می شود. در همین جلسه درباره رنگ و فرم نهایی دندان ها تصمیم گیری می شود. | ۱ تا ۲ ساعت |
آماده سازی و قالبگیری دندان ها | در جلسه دوم، سطح دندان ها کمی تراش داده می شود تا فضای کافی برای قرارگیری لمینت ایجاد شود. سپس از دندان ها قالب دقیق یا اسکن دیجیتال گرفته می شود تا لمینت ها بر اساس فرم واقعی دهان ساخته شوند. | ۱ تا ۲ ساعت |
ساخت لمینت در لابراتوار | قالب های تهیهشده به لابراتوار دندانسازی ارسال می شوند. در آنجا لمینت ها با دقت بالا و هماهنگ با رنگ سایر دندان ها ساخته می شوند. | 2 تا 4 هفته |
نصب لمینت نهایی | پس از آماده شدن لمینت ها، جلسه نهایی نصب خواهد بود. دندانپزشک ابتدا لمینت ها را امتحان کرده، رنگ و اندازه آنها را بررسی می کند و سپس با چسب مخصوص روی دندان ها فیکس می کند. در پایان سطح دندان ها پولیش داده می شود تا براق و طبیعی باشند. | ۱ تا ۲ ساعت |
لمینت دندان چیست؟
لمینت دندان یا همان ونیر دندانپزشکی، لایه ای نازک از جنس کامپوزیت یا سرامیک است که بر روی سطح جلویی دندان ها چسبیده می شود؛ تا ظاهری زیباتر و مرتب تر داشته باشند.
به کمک لمینت دندان می توان تغییر رنگ، شکستگی، لب پرشدگی و فاصله و نامرتبی جزئی دندان ها را پوشش داد.
چرا آشنایی با مراحل لمینت دندان مهم است؟
زمانی که شما قصد انجام این کار زیبایی را دارید، اگر با مراحل لمینت دندان آشنا باشید، اضطرابتان کمتر می شود، انتخاب بهتری خواهید داشت و از نتیجه نهایی نیز رضایت بیشتری خواهید داشت. همچنین شناخت این مراحل به شما کمک می کند تا بدانید در هر جلسه درمان چه کاری قرار است انجام شود تا مراقبت های لازم را رعایت کنید.
مراحل لمینت دندان با عکس
مرحله اول: معاینه دندان ها و رفع مشکلات دندانی
اولین قدم برای لمینت دندان، مراجعه به متخصص زیبایی دندان است. در این جلسه، دندانپزشک وضعیت سلامت دندان ها و لثه ها را بررسی می کند.
همچنین در صورت وجود هر گونه پوسیدگی، عفونت و یا مشکلات بایت قبل از انجام لمینت دندان، تمامی آنها رفع می شود. سپس درباره انتظارات بیمار از رنگ لمینت و فرم دندان ها سوال می شود.
در این مرحله معمولا به منظور بالا بردن دقت کار، از دندان ها عکس رادیوگرافی گرفته می شود یا قالب اولیه تهیه می شود تا وضعیت دقیق دندان ها معین باشد.

مرحله دوم: طراحی لبخند
در این مرحله دندانپزشک به کمک نرم افزارهای دیجیتالی یا مدل مومی، شکل تقریبی دندان های شما بعد از لمینت دندان را بازسازی می کند.
در این مرحله شما قبل از شروع کار، نتیجه نهایی را خواهید دید و بهتر می توانید درباره انجام یا عدم انجام آن تصمیم بگیرید.
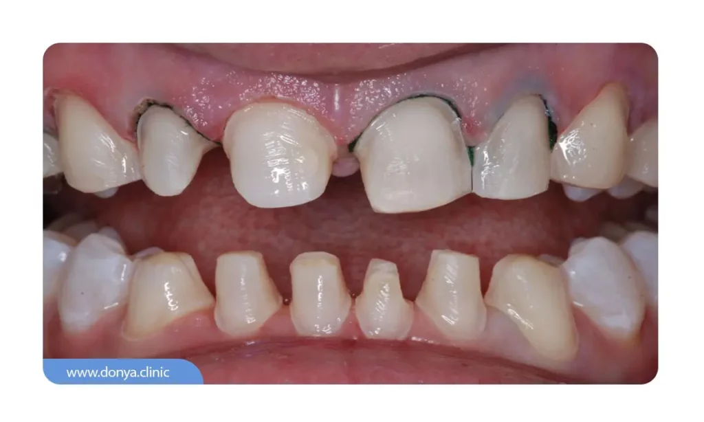
مرحله سوم: آماده سازی دندان ها
یکی از مهم ترین مراحل لمینت دندان، مربوط به آماده سازی سطح دندان هاست. در این مرحله دندانپزشک مقدار کمی از سطح جلویی دندان ها را تراش می دهد تا فضای کافی برای چسباندن لمینت باشد.
شایان ذکر است که میزان تراش برای نصب لمینت دندان بسیار ناچیز است و آسیبی به ساختار اصلی دندان ها وارد نمی کند.
البته در لمینت های کامپوزیتی یا همان کامپوزیت دندان معمولا تراش کمتر است یا نیازی به تراش دندان ها نیست، اما در لمینت سرامیکی که مردم عام به لمینت دندان می شناسند، به منظور طبیعی تر بودن و افزایش ماندگاری آن، نیاز به تراش جزئی دندان ها است.

مرحله چهارم: قالب گیری دقیق
پس از اینکه سطح دندان ها آماده شد، قالب گیری دندان انجام می شود. این قالب به لابراتوار دندانپزشکی ارسال می شود تا بر اساس آن، لمینت های سفارشی هر بیمار ساخته شوند.
البته برخی از کلینیک های دندانپزشکی مجهز به فناوری اسکن دیجیتال هستند که دقت بیشتری به نسبت قالب گیری سنتی دندان دارد و انجام آن برای بیمار نیز راحت تر است.
تا زمان آماده شدن لمینت دندان، قالب های موقت بر روی دندان ها گذاشته می شوند که تا فرد در این مدت احساس ناراحتی نداشته باشد.

مرحله پنجم: ساخت لمینت در لابراتوار
در لابراتوار، تکنسین مربوطه در فاصله زمانی 2 الی 4 هفته ای با استفاده از قالب یا اسکن دیجیتال دندان، لمینت های با رنگ و فرم دلخواه بیمار می سازد.
مرحله ششم: نصب لمینت نهایی
پس از آماده شدن لمینت ها، به بیمار اطلاع داده می شود تا برای نصب لمینت ها در کلینیک حضور پیدا کند. در این جلسه ابتدا دندانپزشک لمینت ها را بر روی دندان ها قرار می دهد تا از نظر رنگ، اندازه و تطابق آنها را تست کند.
در صورتی که همه چیز را بیمار و دندانپزشک تایید کنند، سطح دندان ها تمیز و خشک می شود و سپس لمینت ها توسط چسب های مخصوص بر روی دندان ها چسبانده می شوند. سپس با تاباندن نور مخصوص، چسب سفت و محکم می شود.

مرحله هفتم: پالیش و بررسی نهایی
در آخرین مرحله از مراحل لمینت دندان، دندانپزشک سطح لمینت ها را پولیش می دهد تا کاملا صاف و براق شوند. همچنین تماس دندان ها با یکدیگر نیز بررسی می شود تا در هنگام جویدن برای فرد مشکلی پیش نیاید.
پس از بلند شدن از یونیت دندانپزشکی، دیگر شما دندان ها و لبخندی جدید دارید که باعث بالا رفتن اعتماد به نفس شما می شود.
فرق لمینت و کامپوزیت در مراحل اجرایی
تمامی مراحل کامپوزیت دندان در مطب انجام می شود و در یک جلسه درمان تمام می شود. اما در مراحل لمینت دندان (لمینت سرامیکی) نیاز به قالب گیری از دندان ها و ساخت در لابراتوار دارد که نیاز به مراجعه 2 یا 3 باره شما به کلینیک دندانپزشکی است.
البته با اینکه مراحل لمینت سرامیکی طولانی تر است و ممکن است چند هفته طول بکشد، اما از نظر درخشندگی، دوام و استحکام بسیار بهتر از لمینت کامپوزیتی است.
مدت زمان کل مراحل لمینت دندان چقدر است؟
مدت زمان مراحل لمینت دندان بستگی به تعداد واحدهای دندان و نوع لمینت دارد. معمولا آماده شدن و نصب لمینت سرامیکی بین 2 الی 4 هفته زمان می برد و نیاز به چندین جلسه مراجعه بیمار به کلینیک دارد، در حالی که لمینت کامپوزیتی معمولا در یک جلسه قابل انجام است.

هر کدام از مراحل لمینت سرامیکی دندان چقدر طول می کشد؟
یکی از سوالاتی که به کرات پرسیده می شود که این است که هر کدام از مراحل لمینت دندان (لمینت سرامیکی) چقدر زمان می برد و چند بار باید به کلینیک مراجعه کنیم؟
در جدول زیر مدت زمان تقریبی هر کدام از مراحل لمینت دندان را اعلام کرده اید. اما مدت زمان دقیق آن به عواملی مانند تعداد دندان ها، مهارت دندانپزشک و امکانات لابراتوار بستگی دارد.
کلام آخر
لمینت دندان روشی مدرن و موثر برای رسیدن به دندان های سفید و یکدست است. در صورت آشنایی با مراحل لمینت دندان از مشاوره اولیه تا نصب نهایی، شما راحت تر می توانید تصمیم نهایی خود را بگیرید.
اگر به دنبال اصلاح طرح لبخند خود هستید، پیشنهاد می شود با یک متخصص زیبایی دندان مشورت کنید تا مناسب ترین نوع لمینت را برای شما انتخاب کند.