هزینه عکس دندان(opg) در سال ۱۴۰۴ چقدر است؟
تقریباً برای هر مسالهای که به دندانپزشکی مراجعه می کنید در مرحله تشخیص نیاز است که از دهان و دندان شما عکسبرداری شود. اینکار معمولا با کمک اشعه ایکس انجام می شود. رایجترین عکسی که از دندان در دندانپزشکی گرفته می شود عکس opg است. در این مقاله درباره این عکس رادیوکرافی و محدوده هزینه عکس دندان در سال 1404 اطلاعاتی ارائه شده است.
| نوع عکس | هزینه عکس به تومان |
|---|---|
| قیمت عکس او پی جی (مراکز دولتی) | از 144.000 الی 174.000 |
| هزینه عکس او پی جی (مراکز خصوصی) | از 174.000 الی 288.000 |
| عکس پری اپیکال (تک دندان) | از 90.000 |
| عکس دندان بایت وینگ | از 144.000 |
| عکس پری اپیکال | از 100.000 |
| عکس دندان پانورامیک opg | از 450.000 |
| عکس دندان سفالوگرام | از 450.000 |
| عکس دندان cbct | از 600.000 |
| عکس دندان اکلوزال | از 95.000 الی 144.000 |
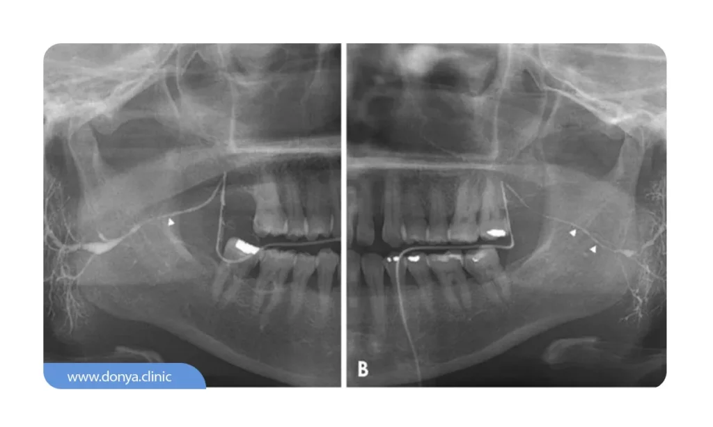
عکس OPG چیست؟
او پی جی یا OPG خلاصه شده عبارت (Orthopantomagram) نوعی اسکن دهان و دندان با کمک اشعه ایکس است که یک تصویر واحد از همه دندان ها در فک های بالا و پایین را به صورت یکجا نشان می دهد. به جز دندان ها، با کمک این عکس، نمایی از استخوان فک و مفصل گیجگاهی که محل اتصال استخوان فک به جمجه است به نمایش در می آید. ادامه مقاله را بخوانید تا با کاربردها، مزایا و هزینه عکس دندان opg بیشتر آشنا شوید.
مشاوره رایگان

چرا از عکس دندان opg استفاده می کنیم؟
فلسفه استفاده از این مدل عکس ها به شکل و ظاهر فک ما انسان ها بر می گردد. از آنجایی که فک ما به حالت قوسی است با کمک روش های معمولی رادیوگرافی نمی توان تصاویر خوبی از دندان ها و فک به صورت یکجا گرفت. در واقع اینکار بسیار بسیار دشوار خواهد بود. به همین جهت تصویر برداری به روش نوینی مانند opg روی کار آمد که مخصوص گرفتن تصاویر از قوس فکی انسان ها است.
با کمک این عکس دهان، می توانید به خوبی یک شکل واحد از داخل دهان تهیه کنیم به طوری که تمام دندان ها در آن تصویر نمایان باشند. تقریبا بیشتر مشکلات دندان ها با کمک این رادیوگرافی قابل تشخیص هستند. از مزایای این روش عکسبرداری کاهش هزینه عکس دندان به نسبت روش های قدیمی است.
کاربرد عکس او پی چی چیست؟
با تصویربرداری او پی جی، می توان به خوبی مسائل و مشکلات مربوط به سینوس های فک بالا، موقیعیت دندان ها (برای ارتودنسی)، و سایر ناهنجاری های استخوان های فک را تشخیص داد. سایر کاربردهای عکس دندان opg تشخیص موارد زیر است:
- عفونت پیشرفته لثه
- کیست های استخوان فک
- تومورها و توده های خوش خیم یا بدخیم سرطانی استخوان
- پوسیدگی های دندان
- شکستگی های دندانی
- لب پر شدن و ترک دندانی
- مشکلات مفصل هاای فک
- سینوزیت و مشکلات مربوط به سینوس ها
- وضعیت فک و لثه بعد از کشیدن دندان ها
- تعیین موقعیت پروتزها

گرفتن عکس دندان opg چه مزایایی برای ما و دندانپزشک دارد؟
گرفتن تصاویر اُ پی جی نسبت به سایر گرافی های دندانپزشکی مزایای زیادی دارد. موارد زیر مهمترین مزیت های عکس دندان opg است:
- دارای خاصیت سه بعدی بودن عکس
- رنگبندی بهتر
- داشتن وضوح بهتر
- امکان تشخیص انواع کیست ها، تومورها و عفونت های موجود در داخل دهان و دندان
- نمایش بهتر دندان های شیری در کودکان
- امکان تشخیص بهتر ضایعات دهانی و دندانی
- مشخص شدن محل دقیق قرار گیری ایمپلنت ها و پروتزهای دندانی
- امکان تشخیص دقیق و بهتر مشکلات ریشه دندان طی فرآیند درمان ریشه
- امکان تشخیص انواع پوسیدگی های و حفرات دندانی
- از همه مهمتر هزینه عکس دندان opg ارزان تر است
تعرفه مصوب گرفتن عکس دهان با opg چقدر است؟
رادیوگرافی دهان و دندان یکی از عمومی ترین پروسه های دندانپزشکی است که معمولا هزینه آن بر اساس بخشنامه های وزارت بهداشت تعیین می شود. هزینه عکس دهان در سال 1404 با این روش مطابق با نظر وزارت بهداشت ۲۰۰ هزارتومان است اما ممکن است در شهرها و کلینیک های مختلف تا ۲۵۰ هزار تومان نیز هزینه داشته باشد.
خوندن این مقالات رو هم از دست ندید
قیمت عکس دندان با بیمه چقدر است؟

با توجه به اینکه رادیوگرافی دهان و دندان یک پروسه مهم برای امر تشخیص است و به درمان کمک زیادی می کند، هزینه آن توسط بیمه ها پوشش داده می شود. بیمه تامین اجتماعی بخش زیادی از هزینه را پوشش می دهد و بیمه های تکمیلی تمام هزینه opg را تقبل می کنند.
| ردیف | سازمان بیمه | مقدار پوشش |
|---|---|---|
| 1️⃣ | تامین اجتماعی | 70 الی 80 درصد |
| 2️⃣ | نیروهای مسلح | 80 درصد |
| 3️⃣ | تکمیلی | تا 100 درصد |
❗ هزینه عکس دندان با بیمه تامین اجتماعی
سازمان بیمه تامین اجتماعی از پوشش قابل توجهی برای پرداخت هزینه عکس دندان برخوردار است. بیمه شوندگان این سازمان باید بدانند که ارگان تامین اجتماعی حداقل 70 درصد از قیمت عکس دندان را تحت پوشش قرار می دهد. در واقع هزینه پرداختی حدودی برای رادیوگرافی او پی جی دندان با دفترچه تامین اجتماعی در سال 1404 از 52 الی 86 هزار تومان متغیر است.
❗ هزینه عکس دندان با بیمه نیروهای مسلح
سقف پوشش سازمان نیروهای مسلح برای بیمه شوندگان خود جهت پرداخت هزینه عکس دندان حداکثر 80 درصد است. البته باید بدانید که شرایط منعقد شده بین بیمه شونده و سازمان نیروهای مسلح در تعیین هزینه نهایی رادیوگرافی دهان تاثیرگذار است. بازه قیمت عکس دندان با بیمه نیروهای مسلح در سال 1404 حدود 35 الی 55 هزار تومان است.
❗ هزینه عکس دندان با بیمه تکمیلی
بیمه تکمیلی بیشترین پوشش را میان سایر بیمه های درمانی برای پرداخت هزینه عکس دندان opg دارد. با در نظر گرفتن تحقیقات صورت گرفته، بسیاری از انواع سازمان های بیمه تکمیلی، تمام هزینه پرداختی برای انجام رادیوگرافی دهان و دندان را پرداخت می کند.
قیمت عکس دندان آزاد در سال 1404 چقدر است؟
طبق تعرفه های مصوب و اعلام شده از سوی سازمان وزارت بهداشت، قیمت عکس دندان آزاد نباید خارج از بازه عددی 200.000 تا 500.000 باشد. مراکز تصویربرداری دهان و دندان دولتی یا خصوصی به همراه تکنولوژی های درمانی جهت اجرای عملیات رادیوگرافی به عنوان موارد تاثیرگذار بر قیمت عکس دندان آزاد شناخته می شوند. تجربیات دیگران نشان داده است که هزینه پرداختی برای عکس opg دندان در مراکز رادیوگرافی درمان دولتی حدود 200.000 تا 300.000 هزار تومان می باشد. هزینه عکس دندان در مراکز آزاد یا خصوصی در سال 1404 ممکن است تا نزدیک 500 هزارتومن باشد.
نرخ رادیوگرافی opg در کلینیک دنیا دنتال چقدر است؟
بسته به اینکه قصد دارید برای چه پروسه ای از دندان های خودتان عکس بگیرید، هزینه عکس دندان opg در کلینیک دنیا بین ۲۰۰ تا ۳۰۰ هزار تومان متغییر است. قبل از اینکه اقدام به گرفتن عکس کنید، هزینه آن توسط دستیاران و منشی به شما اعلام خواهد شد.
به جز عکس دندان opg چه نوع رادیوگرافی های دیگری در دندانپزشکی وجود دارد؟
عکس opg تنها یکی از انواع رادیوگرافی های دندانپزشکی است که استفاده می شود. دندانپزشکان بسته به مشکلی که پیش آمده یا هدف درمانی شان، ممکن است چند نوع عکس دندان دیگر نیز درخواست دهند. مهمترین تصاویر رادیوگرافی دندانی به جز ogp عبارتند از:
- توموگرافی 3 بعدی یا CBCT
- سیالوگرافی یا (Sialography)
- رادیوگرافی پری اپیکال یا (Periapical)
- رادیوگرافی اکلوزال یا (Occlusal)
- عکس بایت وینگ دندان (Bitewing)

1️⃣ عکس CBCT (توموگرافی 3 بعدی)
عکس CBCT یا توموگرافی کامپیوتری با پرتو مخروطی، یک روش تصویربرداری سه بعدی است که از اشعه ایکس برای تولید تصاویر با کیفیت بالا از دندان ها و بافت های اطراف استفاده می کند. این تکنولوژی امکان مشاهده دقیق تری از بافت نرم و استخوان ها را فراهم می آورد و برای بررسی های دقیق تر و برنامه ریزی ایمپلنت های دندانی بسیار مفید است.
در مقابل، عکس OPG یا ارتوپانتوموگرام، یک تصویر دوبعدی پانورامیک است که تصویر کاملی از تمام دندان ها در فک های بالا و پایین را ارائه می دهد. این روش بیشتر برای تشخیص مشکلات کلی دهان و دندان مانند نامرتبی دندان ها، بیماری های لثه و شناسایی دندان های پوسیده استفاده می شود.

تفاوت اصلی بین این دو روش در نوع تصاویر تولیدی است؛ CBCT تصاویر سه بعدی ارائه می دهد که جزئیات بیشتری را نسبت به OPG نشان می دهد و برای بررسی های پیچیده تر مناسب است، در حالی که OPG برای بررسی های کلی و سریع تر مناسب است.
💵 هزینه عکس cbct در سال 1404 برای هر نیم فک معمولا بسته به موقعیت رادیولوژی و کیفیت تجهیزات و متفاوت است و از 600 هزار تومان شروع می شود. بیمه های پایه مثل تامین اجتماعی، این مورد از هزینه عکس دندان را تحت پوشش خود قرار نمی دند اما بیمه های دیگر (تکمیلی ) ممکن است بخشی از هزینه را پرداخت کنند.
2️⃣ عکس Sialography ( سیالوگرافی)
جهت اجرای فرآیند رادیوگرافی سیالوگرافی برای دریافت تصاویر خروجی عکس برداری دهان و دندان لازم است تا متخصص مربوطه از تزریق یک رنگ خاص به داخل بافت های متشکل غدد بزاق دهان کمک بگیرد. هدف از اجرای چنین تصویربرداری، نمایان شدن لایه های داخلی متشکل غدد بزاق دهان است.
اگر کادر درمان رادیوگرافی دهان رنگ خاصی را به درون غدد بزاق تزریق نکند، پایین بودن سطح تراکم غدد مانعی برای ارزیابی وضعیت سلامت آن خواهد شد؛ چراکه ساختار بافت های متشکل غدد بزاق دهان بسیار نرم می باشند و بدون کمک آن رنگ نمی توانند خود را در نوار رادیوگرافی خود را به نمایش بگذارد.

دندانپزشک با ارزیابی جزئیات این تصویر قادر است که وضعیت سلامت بافت های غدد دهان را بررسی کند. تصویر سفالوگرام می تواند باعث تشخیص و شناسایی مشکلات غدد بزاق دهانی شود؛ اگر اختلالاتی نظیر انسداد و سندرم شوگرن شکل گرفته باشند، دندانپزشک بهترین راهکارهای درمانی را ارائه خواهد داد. لازم است تا بدانید که نشانه های سندرم شوگرن با کمبود رطوبت لازم در فضای چشم و خشکی دهان خود را به نمایش می گذارد. خشکی دهان مهم ترین عامل برای شکل گیری بیماری پوسیدگی دندان شناخته می شود؛ غدد بزاق باعث نابودسازی پلاک های دندانی و باکتری های مضر دهان می شود.
💵 قیمت عکس دندان سفالوگرام در سال 1404 از 450 هزار تومان شروع شده و به بالا ادامه دارد.
3️⃣ عکس دندان Periapical (رادیوگرافی پری اپیکال)
رادیوگرافی پری اپیکال به دندانپزشک در ارزیابی وضعیت سلامت 1 ال 2 دندان اطراف دندان دچار صدمی دیدگی کمک بسزایی می کند. در تصویربرداری پری اپیکال ارتفاع کلی ساختار متشکل یک واحد دندانی (از پایین ترین نقطه یا ریشه دندان تا بالاترین نقطه یا عاج) مشخص است.

دندانپزشکان ممکن است در وضعیت یک دندان خاص قبل از اجرای فرآیندهای درمانی نظیر استخراج آن یا پر کردن دچار تردید و شک شوند؛ محتویات و جزئیات این عکس به متخصصان کمک می کنند تا از وضعیت سلامت واحد دندانی مذکور کسب اطمینان کنند.
💵 هزینه عکس دندان پری اپیکال در سال 1404 برای تک دندان از 90 هزار تومان و برای دو دندان از 100 هزار تومان شروع می شود.
4️⃣ عکس دندان Occlusal (تصویربرداری اکلوزال)

تمرکز تصویربرداری اکلوزال بر روی ناحیه جونده واحدهای دندانی می باشد. نسبت تصویر اکلوزال در مقایسه با دیگر عکس های رادیوگرافی دهان بزرگ تر است. دندانپزشک از طریق عکس Occlusal به بررسی نحوه رشد و رویش دندان های شیری و دائمی گروه های مختلف سنی کودکان می پردازد. لازم است تا بدانید که این تصویربرداری دهان به نمایان شدن ظاهر سقف قوسی شکل فکین فوقانی و تحتانی می پردازد..
💵 قیمت عکس دندان اکلوزال در سال 1404 از 95 الی 120 هزار تومان در مراکز دولتی و 120 الی 144 هزار تومان در مراکز خصوصی تخمین زده می شود.
5️⃣ عکس دندان Bitewing (رادیوگرافی بایت وینگ)
هدف از انجام رادیوگرافی عکس دندان بایت وینگ ارزیابی کیفیت سلامت روکش دندانی است. دندانپزشک از زاویه 90 درجه چپ و راست چهره بیمار تصویربرداری می کند تا وضعیت واحدهای دندانی عقب و آسیاب کوچک را در فکین فوقانی و تحتانی را بررسی نماید. اگر بخواهیم به زبان خیلی ساده تر صحبت کنیم؛ دندانپزشک با استفاده از این عکس تمام جزئیات واحدهای دندانی فک بالا و پایین از یک سمت خاص دندان (قسمت تاج) ارزیابی می کند.

تصویربرداری رادیوگرافی بایت وینگ به ارزیابی کیفیت برخی از خدمات ترمیمی دندان نظیر وضعیت بریج دندان یا پر کردگی واحدهای دندانی دچار پوسیدگی کمک بسزایی می کند.
💵 قیمت عکس دندان اکلوزال در سال 1404 از 95 الی 120 هزار تومان در مراکز دولتی و 120 الی 144 هزار تومان در مراکز خصوصی تخمین زده می شود.
عوارض و خطرات عکس دندان چیست؟
عکسبرداری دندان با استفاده از اشعه ایکس می تواند اطلاعات مهمی در مورد وضعیت دندان ها، ریشه ها و ساختار استخوانی فک ارائه دهد و به تشخیص زودهنگام مشکلات دندانی کمک کند. با این حال، مانند هر روش تشخیصی دیگری که از تابش استفاده می کند، عکسبرداری دندان نیز می تواند دارای خطرات و عوارض جانبی باشد، اگرچه این خطرات بسیار کم هستند.
میزان تشعشعات دریافتی در طی عکسبرداری دندانی بسیار پایین است و معمولا خطری برای بزرگسالان و کودکان ایجاد نمی کند. با این حال، همیشه توصیه می شود که در صورت امکان از تعداد دفعات عکسبرداری کاسته شود و از محافظ های سربی استفاده گردد تا از میزان تابش به بدن کاهش یابد. همچنین، در دوران بارداری باید از انجام عکسبرداری دندان خودداری شود مگر اینکه ضروری باشد و با احتیاط انجام گیرد.
سوالات پرتکرار در مورد هزینه عکس دندان
قیمت عکی دندا opg در مراکز دولتی 120 هزار تومان است.
بله، این بیمه حدود 70 الی 80 درصد این هزینه را پرداخت می کند.
برخی شرکت ها هستند که با دریافت مبالغی به صورت ماهیانه یا سالانه کارت تخفیف هایی به شما اهدا می کنند. اگر دندانپزشک یا کلینیکی با این شرکت ها طرف قرارداد باشد قیمت عکس دندان opg صفر می شود و یا تا حد زیادی کاهش پیدا می کند.