آشنایی با معایب و عوارض لمینت دندان (12 مورد اصلی)
لمینت دندان یک روش ترمیمی و زیبایی بسیار رایج در ایران و جهان است. با وجود مزایای زیادی که این ونیرهای دندانی دارند، ممکن است تعدادی عیب و ایراد و حتی عوارض برای آن ها وجود داشته باشد. در این مقاله ما روی معایب و عوارض لمینت دندان تمرکز می کنیم. اگر به دنبال پاسخ سوال “آیا لمینت دندان ضرر دارد؟” یا “علت نارضایتی از لمینت دندان چیست؟” هستید، همراه کلینیک دندانپزشکی دنیا دنتال باشید تا مضرات لمینت دندان را بشناسید.

آیا لمینت دندان عوارض دارد؟
جواب کلی بله است ولی این نباید شما را نگران کند. به طور کلی عوارض لمینت برای دندان حتی اگر وجود داشته باشد بسیار محدود خواهند بود. چنانچه شما دندانپزشک خوب انتخاب کرده باشید نباید نگران بروز عوارض لمینت دندان باشید.
ریز جزئیات عوارض لمینت دندان در کوتاه و بلند مدت با یک نگاه
در ادامه جدولی را مشاهده می کنید که به ارزیابی و بررسی مضرات لمینت دندان در کوتاه و بلند مدت می پردازد:
| ردیف | عوارض کوتاه مدت لمینت دندان | عوارض بلند مدت لمینت دندان | راهکار درمان |
|---|---|---|---|
| 1️⃣ | تجربه کردن واکنش های حساسیتی به سرما و گرما | ماندگار شدن واکنش های حساسیتی به تغییرات دمایی | استفاده از خمیر دندان مناسب با خاصیت کاهش دهنده حساسیت |
| 2️⃣ | شکل گیری التهاب و قرمزی در نواحی بافت های لثه | تحلیل یا پس روی بافت لثه | رعایت بهداشت دهان و اجرای فرآیندهای درمان لثه |
| 3️⃣ | تجربه کردن احساس درد و فشار در دندان لمینت شده | تغییر رنگ لمینت دندان | اجرای فرآیند پولیش دندان یا تعویض آن |
| 4️⃣ | شکل گیری حس وجود جسم خارجی در دهان | ایجاد شکستگی یا بروز ترک خوردگی در لمینت | ترمیم لمینت یا تعویض آن |
| 5️⃣ | احساس تغییرات گفتاری و نحوه جویدن مواد غذایی | جداسازی لمینت از سطح دندان | اجرای فرآیند چسباندن مجدد لمینت به سطح دندان |
| 6️⃣ | شکل گیری لب پردگی | سایش دندان های قدامی یا جلویی | اصلاح سازی اکلوژن استفاده از محافظ شب |
| 7️⃣ | شکل گیری واکنش های حساسیتی آلرژیک در سطح خفیف | ادامه دار شدن واکنش های آلرژیک | تعویض لمینت دندان برای تطبیق سازگاری با فرد |
معایب و عوارض لمینت دندان چیست؟ (دلایل نارضایتی از لمینت دندان)
در این بخش به بررسی تعدادی از ضررهای لمینت دندان خواهیم پرداخت که برخی از آن ها زودگذر هستند و برخی دیگر ممکن است در طولانی مدت مشاهده شوند.
1. حساسیت و درد دندان
به دلیل تراشیده شدن مینای دندان، دقیقا بعد از بین رفتن اثر بیحسی ممکن است حساسیت دندانی تجربه کنید. حساسیت دندان یعنی احساس درد و تیر کشیدن دندان حین خوردن چیزهای سرد یا گرم و یا برخورد هوا به دندان ها. حساسیت دندان زودگذر است و نمی توان آن را مضرات لمینت دندان ها در طولانی مدت دانست. این موقتی است و بعد از چند روز یا چند هفته برطرف می شود.

راهکارهای درمانی حساسیت و احساس درد دندان بعد از نصب لمینت عبارت اند از:
- توجه به دستورالعمل های پزشکی بهداشت دهان و دندان: اجرای فرآیند مسواک به کمک خمیر دندان های کاهنده واکنش های حساسیتی
- تغییرات دمایی: اجتناب از میل کردن غذاها و نوشیدن نوشیدنی های داغ و خنک
- ژل فلوراید: بسته به نظر متخصص، دندانپزکش ممکن است از فرآیند ژل فلوراید برای تقویت بافت های مینای دندانی در نظر گیرد تا مسیر کاهش حساسیت با موفقیت طی شود.
2. پوسیدگی دندان
لمینت خودش نمی تواند باعث پوسیدگی دندان شود و هیچکس نمی تواند ادعا کند که پوسیدگی یکی از عوارض لمینت دندان است. این مشکل (پوسیدگی) زمانی رخ می دهد که دندان زیرین یا دندان های مجاور دچار پوسیدگی هستند و دندانپزشک بدون برداشتن پوسیدگی اقدام به لمینت دندان می کند. بعدها پوسیدگی گسترده شده و باعث آسیب به دندان می شود. در این وضعیت شخص ممکن است درد شدیدی زیر لمینت احساس کند. این درد می تواند نشان دهند شدت آسیب و یکی از ضررهای لمینت دندان پوسیده باشد.

راهکارهای درمانی برای پیشگیری از شکل گیری پوسیدگی دندان در صورت وجود لمینت دندان عبارت است از:
- مسواک زدن منظم
- نخ دندان کشیدن (حداقل 2 بار در روز)
- استفاده از دهانشویه
- رعایت تمام نکات دستورالعمل های پزشکی ارائه شده از سوی متخصص معالج
- درمان پوسیدگی دندان (اگر در سطح شدید باشد)
3. باعث حساسیت لثه می شود
در برخی موارد لثه دندان بعد از لمینت کردن دچار التهاب شده و ممکن است عقب نشینی کند. به این وضعیت تحلیل لثه گفته می شود. این اتفاق زمانی به دلیل عدم تناسب لمینت با دندان زیرینش رخ می دهد. از حساسیت لثه معمولا به عنوان یکی از عوارض لمینت دندان نازک موسوم به لومینیرز یاد می شود. زیرا در این لمینت ها دندان تراشیده نمی شود و آن ها مستقیما روی دندان ها قرار داده می شوند. اگر التهاب لثه بیشتر از 3 روز ادامه دار شود، مرحله خونریزی لثه در حال شکل گیری است.

راهکارهای درمانی برای جلوگیری تحریک و شکل گیری التهاب در بافت های متشکل لثه عبارت اند از:
- رعایت بهداشت دهان و دندان: حداقل 3 بار در روز مسواک بزنید و از نخ دندان برای خارج کردن مواد غذایی به دامل افتاده در بین دندان استفاده کنید. همچنین کمک از خواص ضدباکتریال دهان شویه های مناسب لمینت دندان برای نابودی باکتری های مضر دهانی بسیار تاثیرگذار است.
- پاکسازی جرم و پلاک دندان با استفاده از روش های حرفه ای دندانپزشکی: پولیش لمینت دندان.
به یاد داشته باشید در صورت بی توجهی به شکل گیری مشکلات و بیماری های لثه، دندانپزشک معالج راهکاری جز تغییر شکل و ساختار لمینت یا اجرای فرآیند لثه درمانی ندارد.
4. پالپ دندان را آسیب پذیر می کند
یکی دیگر از عوارض لمینت برای دندان که البته بسیار نادر است می تواند احتمال آسیب رسیدن به پالپ دندان باشد. می دانیم که برای نصب لمینت نیاز است تا مینای دندان تراش بخورد، اگر در حین فرآیند تراش و نصب لمینت هر کدام از این مشکلات پیش بیاید حتما با آسیب به پالپ به عنوان یکی از عوارض لمینت دندان روبرو خواهید شد:
- دندانپزشک یا متخصص ترمیمی باتجربه نباشد و فاقد مهارت کافی باشد
- از ابزار و تجهیزات غیراستاندارد برای تراش دندان و نصب لمینت استفاده کند
- عدم همکاری خودتان با دندانپزشک

آسیب به پالپ می تواند همراه با دندان درد و احساس تیر کشیدن باشد. چنانچه آسیب به پالپ وارد شده باشد و این آسیب منجر به عفونت شده باشد میبایست لمینت برداشته شده و عصب کشی دندان صورت بگیرد. بنابراین برای پیشگیری از بروز آسیب پالپ به عنوان یکی از نادرترین عوارض لمینت دندان حتما دندانپزشک مناسب و باتجربه انتخاب کنید.
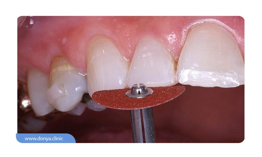
5. تراش خوردن مینای دندان
متاسفانه برای نصب لمینت ها لازم است تا مقداری از ضخامت مینای دندان تراشیده شود. اینکار هرچند که جزئی است اما بلاخره می تواند ناخوشایند باشد. دلیل تراشیدن مینای دندانی این است که فضای کافی برای نصب لمینت به وجود بیاید. اگر دندان تراشیده نشود، لمینت ها بعد از نصب برجسته شده و نمای جالبی نخواهند داشت. البته امروزه با وجود تکنولوژی های مدرن دندانپزشکی میزان تراش مینا بسیار محدود شده است.

6. دائمی بودن روش
زمانی که مینای دندان تراش می خورد دیگر قادر نخواهد بود خودش را ترمیم کند. در نتیجه لمینت کردن دندان یک درمان غیرقابل بازگشت خواهد بود. به این معنی که حتی اگر لمینت آسیب ببیند شما باید دوباره دندان ها را لمینت کنید یا با روش های جایگزین مانند ونیر کامپوزیت آن ها را بپوشانید. اگر چنین نشود با عوارض لمینت دندان در آینده روبرو خواهید شد.
بیشتر بدانید :
7. احتمال هماهنگ نبودن رنگ لمینت با رنگ سایر دندان ها
رنگ لمینت به سختی تعیین می شود. اگر اینکار توسط یک دندانپزشک حرفه ای و با تجربه صورت نگیرد، ممکن است رنگ نهایی لمینت شما با رنگ سایر دندان هایتان مطابقت نداشته باشد و این یکی از محتمل ترین معایب لمینت دندان است. رنگ باید بر اساس وضعیت صورت شما، رنگ پوست، رنگ چشم و رنگ سایر دندان های طبیعی بعد از جرمگیری مشخص شود.

روش های پیشگیری برای شکل گیری فرآیند ناهماهنگی بین رنگ لمینت و رنگ سایر دندان به همراه شیوه های درمانی عبارت اند از:
- دقت در انتخاب بهترین دندانپزشک متخصص ترمیم و زیبایی دندان: باید بدانید که انتخاب بهترین رنگ لمینت دندان با در نظر گرفتن فرم چهره و تطبیق دهی برای طبیعی به نظر رسیدن، تنها توسط یک دندانپزشک متخصص و باتجربه صورت می گیرد.
- جرم گیری دندان: اجرای فرآیند جرم گیری دندان برای نابودی پلاک های دندانی
- بلیچینگ دندان: اجرای فرآیند بلیچینگ دندان برای بازگردانی سطح زیادی از رنگ طبیعی دندان ها و روشن تر کردن آن ها.
- اجرای فرآیند درمانی پولیش دندان: اگر سطح اختلاف رنگ بین لمینت و سایر دندان های طبیعی خفیف باشد، احتمال دارد دندانپزشک انتخابی با استفاده از شیوه پولیش و روش های ترمیمی به اصلاح این مورد از معایب لمینت دندان بپردازد.
8. آسیب پذیر است
لمینت ها مقاوم هستند اما ممکن است در اثر برخورد ضربه به صورت، جویدن مواد سفت و سخت و سایر موارد دیگر به راحتی بشکنند و باعث بروز عوارض لمینت دندان مانند حساسیت دندان و آسیب لثه شوند. با مراقبت اصولی از آن ها می توانید خطر عوارض را به حداقل برسانید. سعی کنید در صورت انجام ورزش تماسی حتما و حتما از محافظ دهان استفاده کنید و همچنین خوراکی های سفت و سخت را با لمینت ها نجویید.

9. برای هر شخصی مناسب نیست
افرادی که مشکلات لثه دارند و یا با خرابی و پوسیدگی دندان ها مواجه هستند نباید لمینت کنند. همچنین کودکان و افراد مسن نیز به همین شکل هستند. زیرا چنانچه چنین افرادی دندان هایشان را با این ونیر زیبا کنند احتمال بروز ضررهای لمینت دندان در آینده برایشان وجود خواهد داشت.

اگر شما جزو افرادی هستید که در دسته کاندیدای مناسب لمینت دندان فعلا قرار ندارید و به دنبال راهکارهای درمانی هستید، فهرست بخش ذیل را مطالعه نمایید:
- درمان کردن مشکلات و بیماری های لثه: اگر پزشک متخصص تشخیص دهد که متقاضی دارای بیماری های لثه است، باید فرآیند لثه درمانی نظیر جراحی لثه صورت گیرد.
- اجرای فرآیند جرم گیری: در صورت تشخیص وجود پلاک و جرم زیاد.
- ترمیم دندان های پوسیده: اگر دندانی دچار پوسیدگی باشد یا نیازمند اجرای مجدد خدمات ترمیمی پوسیدگی دندان باشد.
- درمان ریشه دندان: دندانپزشک معالج با ارزیابی دقیق جزئیات عکس او پی جی بیمار، به بررسی وجود دندان های می پردازد که نیازمند درمان عصب کشی هستند. اگر تشخیص دهد دندانی نیازمند درمان ریشه است، احتمال دارد انجام فرآیند عصب کشی دندان را پیشنهاد دهد.
- درمان ناهنجاری و بی نظمی های دهان و فکین: در صورت تشخیص دندانپزشک معالج برای اجرای فرآیند درمان ارتودنسی جهت اصلاح ناهنجاری و بی نظمی های دهانی.
10. لکه پذیر است و تغییر رنگ می دهد
هرچند که لمینت ها طوری طراحی و ساخته شده اند که مقاوم باشند و به راحتی دچار تغییر رنگ نشوند، اما متاسفانه چنانچه بهداشت دهان و دندان رعایت نشود لمینت ها هم می توانند دچار تغییر رنگ و لکه شوند و این می تواند یکی از اصلی ترین عوارض لمینت دندان در دراز مدت باشد.

راهکارهای درمانی تغییر رنگ لمینت دندان بعد از نصب آن عبارت اند از:
- پولیش یا تعویض: پولیش لمینت دندان (در صورت تغییرات رنگی خفیف) و تعویض لمینت دندان (در صورت تغییرات رنگی شدید)
- سفید کردن دندان: استفاده از شیوه های حرفه ای سفید سازی سطح لمینت دندان های دارای جرم و پلاک
- نصب روکش کامپوزیت دندان: پوشش نواحی دارای لک
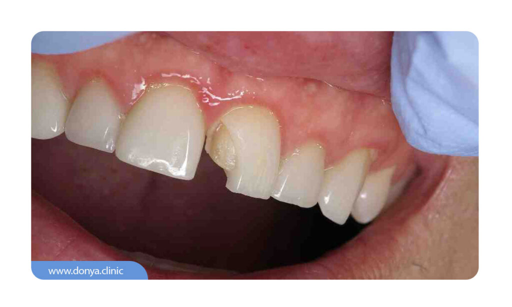
11. ایجاد شکستگی یا شکل گیری لب پردگی دندان
از دیگر ضررهای لمینت دندان می توان به شکل گیری عارضه شکستگی و لب پر شدن برخی از سطوح متشکل آن اشاره نمود. باید بدانید که احتمال بروز شکستگی یا لب پردگی لمینت دندان با اعمال نیرو و فشار بیش از اندازه وجود دارد. لمینت دندان از حساسیتی زیادی برای صدمات ورودی از سوی ضربات طبیعی و غیرطبیعی برخوردار است. به یاد داشته باشید که شکل گیری فرآیند دندان قروچه و گاز گرفتن اجسامی با بافت سخت و سفت باعث افزایش احتمال آسیب پذیری لمینت دندان می شوند. اگر نگران تجربه کردن ساییدگی لمینت دندان هستید، بهتر است از محافظ شب کمک بگیرید و به دنبال راهکارهای درمانی از سوی دندانپزشک معالج باشید.

راهکارهای درمانی شکستگی یا شکل گیری لب پر شدن لمینت دندان عبارت اند از:
- ممنوعیت گاز گرفتن و جویدن اجسامی با بافت سخت: ممنوعیت کامل برای جویدن ناخن، یخ، خودکار و دیگر عوامل تاثیرگذار
- دندان قروچه: اگر با عادت فشردن دندان در حال دست و پنجه نرم کردن هستید، قبل از اجرای فرآیند لمینت گذاری باید این موضوع را با دندانپزشک معالج خود مطرح نمایید تا از راهکارهای درمانی مانند استفاده از محافظ هنگام خوابیدن یا قرارگیری در موقعیت های دارای اضطراب بهره مند شوید.
- عدم استفاده از خمیر دندان حاوی مواد ساینده و مسواکی با برس های سفت: استفاده از خمیر دندان های حاوی مواد ساینده به ایجاد خط و خوش بر روی سطح لمینت دندان کمک بسزایی می کند. همچنین استفاده از مسواکی با برس سفت باعث وارد شدن آسیب به لمینت در گذر زمان خواهد شد.
در صورت مشاهده شکستگی یا لب پر شدن لمینت دندان باید سریعا به نزد دندانپزشک معالج مراجعه کنید تا بهترین راهکار درمانی ارائه شود.
12. شکل گیری بوی بد دهان
عوامل متعددی در بروز بوی ناخوشایند از دهان بعد از نصب لمینت دندان وجود دارند. باید بدانید که این مورد از مضرات لمینت دندان به صورت گذرا و موقتی در کوتاه مدت شکل می گیرد. منشا بوی بد دهان بعد از نصب لمینت در بافت های متشکل چسب لمینت خلاصه می شود. این چسب مسئول تثبیت موقعیت مکانی لمینت به روی سطح دندان اصلی است. باید بدانید که حضور این چسب تا چند روز برای جذب باکتری های مضر و آلودگی ها اجباری است تا سطح بافت های متشکل لمینت دندان دچار آسیب نشوند. در صورت تجمع آلودگی ها، فرآیند نشست پلاک و جرم دندانی برای بروز بوی بد دهان در حال انجام شدن است.

راهکارهای درمانی برای کاهش و نابودی بوی بد دهان ناشی از حضور چسب لمینت دندان عبارت اند از:
- مرطوب نگه داشتن دهان با نوشیدن حداقل 8 لیوان آب در طول روز: بزاق دهان باعث کاهش باکتری های دهان و نابودی مقدار چسب باقی مانده لمینت دندان می شود. به یاد داشته باشید که نباید اجازه شکل گیری فرآیند خشکی دهان از سوی شما صادر شود. خشکی دهان عاملی بسیار تاثیرگذار برای بروز بوی خروجی ناخوشایند از فضای دهان است.
- استفاده از دهان شویه های بدون الکل: برای پاک سازی فضای دهان و از بین بردن آلودگی های مضر.
- عدم فراموشی اجرای مسواک زدن و نخ دندان کشیدن منظم: به ویژه در نواحی اطراف لمینت دندان برای خارج کردن ذرات مواد غذایی و نابودی چسب باقی مانده.
- جویدن آدامس بدون قند: برای تحریک و افزایش فعالیت غدد بزاق دهان جهت بالا بردن سطح ترشح بزاق جهت مرطوب سازی محیط دهان.
13. هزینه زیاد از معایب لمینت دندان
یکی از معایب لمینت دندان هزینه بالای آن است. به ازای هرواحد از این ونیرها شما باید هزینه ای حداقل از 6 میلیون تومان پرداخت کنید. البته برای کاهش هزینه ها روش هایی وجود دارد بنابراین زیاد نگران هزینه نباشید. همینکه کیفیت کار بالا باشد کافیست.
این نوشته را دست ندهید: آخرین هزینه لمینت دندان در سال 1404
عوارض کامپوزیت و لمینت دندان کدام اند؟
آمار محبوبیت و تعداد متقاضیان نصب لمینت و کامپوزیت تقریبا در یک سطح برابر است؛ اما دارای تفاوت های بسیار گسترده ای نسبت به یکدیگر هستند. در این که کامپوزیت دندان جز صدرنشینان شیوه های محبوب و پرتقاضا خدمات ترمیم و زیبایی دندان قرار دارد، شکی وجود ندارد. هدف اصلی نصب کامپوزیت برای متقاضیان، پوشاندن رنگ ناخوشایند دندان هایی است که توجه کافی به آن ها جهت اجرای نکات بهداشت دهان و دندان رعایت نشده است و با گذشت زمان دچار تغییرات رنگی تیره و زرد شده اند. لازم به ذکر است که کامپوزیت دندان همانند روش لمینت دندان دارای معایبی می باشد. اگر جویای پاسخ سوال “کامپوزیت بهتر است یا لمینت؟” هستید، جدول بخش ذیل را مطالعه نمایید:
| ردیف | عنوان عوارض | کامپوزیت دندان | لمینت دندان |
|---|---|---|---|
| 1️⃣ | واکنش های حساسیتی به تغییرات دمایی سرد و گرم | ✅ | ❌ |
| 2️⃣ | واکنش های حساسیتی به مواد غذایی اسیدی | ❌ | ✅ |
| 3️⃣ | تغییر رنگ | بیشتر | کمتر |
| 4️⃣ | ایجاد لکه | بیشتر | کمتر |
| 5️⃣ | تحریک بافت های متشکل لثه برای شکل گیری التهاب و پس روی | ❌ | ✅ |
| 6️⃣ | سایش مواد متشکل با گذشت زمان | مقاومت کمتر | مقاومت بیشتر |
| 7️⃣ | خرد شدن مواد متشکل با گذر زمان | ✅ | ❌ |
| 8️⃣ | جدا شدن با وارد شدن ضربه به دندان | ✅ | ✅ |
| 9️⃣ | شکستگی در صورت وارد شدن ضربه به دندان | ✅ | ✅ |
پاسخ به سوالات رایج درباره عوارض لمینت دندان
اسنپ آن اسمایل در واقع نوعی لمینت پلاستیکی متحرک و موقت است که برای استفاده در برخی مواقع توصیه می شود. از آنجا که شما این نوع لمینت را روی دندان ها میگذارید و جنس مرغوبی ندارند ممکن است به مرور زمان باعث آسیب به لثه شود. التهاب لثه یکی از عوارض استفاده از لمینت متحرک دندان است.
ما به هیچ عنوان استفاده از این لمینت ها را توصیه نمی کنیم. ترجیحا بهتر است که به جای آن ها لمینت واقعی نصب شود و چنانچه مایل به اینکار نیستید می توانید به روش های جایگزین لمینت یعنی ونیر کامپوزیت دندان که ارزان تر از لمینت هستند رو بیاورید.
چنانچه دندان شما به درستی و به شکلی اصولی پر شده باشد می توانید برای زیباسازی آن، از لمینت استفاده کنید. معمولا هیچ عارضه ای در خصوص دندان پر و لمینت شده وجود ندارد. با این حال اگر دندان پر شده به خوبی مراقبت نشود و از سطح پشتی و طرفی دچار پوسیدگی شود نیاز به برداشته شدن لمینت وجود دارد.
بله اصولا لمینت ها برای کودکان انجام داده نمی شود. تنها زمانی اقدام به اینکار می شود که تمام دندان های دائمی در آمده باشد و شخص با اختیار خودش اجازه لمینت شدن دندان هایش را بدهد. معمولا روش های جایگزین مانند ونیر کامپوزیت گزینه های بهترین برای ترمیم دندان کودکان هستند.