دلیل افتادن لمینت دندان چیست؟ (بررسی 11 دلیل بسیار محتمل)

لمینت ها به عنوان رایج ترین و تقریبا بهترین روش اصلاح طرح لبخند ممکن همراه با چالش های زیادی برای ما باشند. یکی از چالش هایی که ممکن است پیش روی افرادی که لمینت انجام داده اند قرار بگیرد احتمال افتادن لمینت دندان است. در این مقاله ما به بحث درباره علت و دلیل افتادن لمینت دندان و روش های برطرف کردن آن پرداخته ایم.
ردیف | دلیل افتادن لمینت دندان | توضیحات |
---|---|---|
1️⃣ | ضعف اتصال چسب | + بی کیفیت بودن چسب مصرفی + تجربه ناکافی دندانپزشک |
2️⃣ | نقص در فرآیند آماده سازی دندان | + تراشیدن بیش از حد بافت های متشکل مینای دندان + پاکیزه نبودن سطوح دندانی قبل از نصب باندینگ |
3️⃣ | اعمال فشار بیش از حد به دندان | + دندان قروچه + انجام فعالیت های بدنی سنگین |
4️⃣ | گنجاندن مواد تغذیه ای چسبناک در برنامه غذایی | + وارد شدن فشار بیش از اندازه به لبه سطوح لمینت + کاهش قدرت چسبندگی چسب برای لق شدن لمینت |
5️⃣ | استعمال دخانیات | + تضعیف بافت های چسب + موثر بر پوسیدگی دندان |
6️⃣ | مصرف الکل | + نابودی قدرت چسبندگی چسب لمینت در مرور زمان + تحریک ترشح اسید معده |
7️⃣ | تعهد ناکافی به بهداشت دهان | + تجمع آلودگی های دهانی + افزایش قدرت نفوذ باکتری های مضر دهانی به سطوح تحتانی لمینت |
8️⃣ | انقضای تاریخ اعتبار لمینت | + حداکثر 15 الی 20 سال |
9️⃣ | عادات مضر | + جویدن یخ + جویدن ناخن + جویدن خودکار |
10 تا از رایج ترین دلیل افتادن لمینت دندان
عوامل متعددی هستند که می توانند علت افتادن لمینت دندان باشند اما ما سعی کرده ایم که روی این 10 عامل بسیار مهم تمرکز کنیم و آن ها را به زبانی ساده توضیح دهیم:
1. جویدن اجسام سفت و سخت
تقریبا مهمترین دلیل افتادن لمینت دندان این است که افراد از لمینت های خود مراقبت کافی و اصولی نمی کنند. برخی افراد عادت دارند که اجسام سفت و سخت را با دندان های لمینت شده خودشان بجوند و یا اینکه عاداتی مثل جویدن ناخن، خودکار و یا حتی پوست کندن انواع تخمه ها دارند.

برخی بر این باورند که استحکام و مقاومت لمینت مانند دندان های طبیعی است؛ اما این تصور کاملا اشتباه است. لمینت دندان همیشه آماده شکستن، ترک خوردن، لب پریدگی آسیب دیدن است. اما نگران نباشید؛ کافی است که تعهد کافی به اجرای مراقبت های بعد از لمینت دندان داشته باشید.
2. اعمال فشار از سوی دندان قروچه
در مواردی نیز دندان قروچه نیز بزرگترین علت افتادن لمینت دندان است زیرا باعث ساییده شدن لمینت ها و کوچک شدنشان می شود. انجام این اقدامات نه بلافاصله، اما در کوتاه و میان مدت باعث شل شدن، ساییدگی و یا حتی افتادن لمینت دندان می شود. با اعمال نیروی زیاد در فشردن دندانهای فکین فوقانی و تحتانی بر روی یکدیگر، تضعیف بافت های متشکل لمینت و خمیدگی واحدهای دندانی در حال شکل گیری است. مطلع ساختن دندانپزکش معالج از عادت دندان قروچه قبل از نصب روکش لمینت بر روی دندان الزامی است.

3. وارد شدن ضربه به صورت
یکی دیگر از دلایل رایج افتادن لمینت ها وارد شدن ضربه مستقیم به صورت و مخصوصا ناحیه جلوی دهان است. اینکار می توان باعث شکسته شدن، ترک خوردن، لب پر شدن و حتی افتادن لمینت ها به صورت کامل شود. برای جلوگیری از بروز این مشکل حتما میبایست حین ورزش کردن از گارد و محافظ دهان استفاده شود و همچنین از قرار گرفتن در موقعیت هایی که ممکن است منجر به شکسته وارد شدن ضربه مستقیم به صورت شود خودداری کرد.
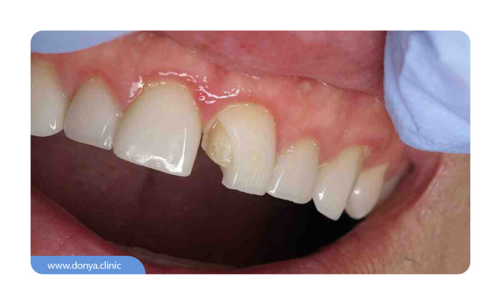
4. پوسیدگی ثانویه دندان
اگر قبل از اتصال لمینت، دندان دچار پوسیدگی شده باشد و دندانپزشک آن را ترمیم نکرده باشد، بعدها بر اثر افزایش پوسیدگی دندان، لمینت ممکن است بی افتد. در واقع پوسیدگی دندان می تواند باعث شود که پیوند شیمیایی که لمینت با دندان تراش خورده ایجاد کرده سس شده و این می تواند دلیل افتادن لمینت باشد. در صورت نصب ناصحیح لمینت و ایجاد فاصله بین سطوح آن با دندان، راه نفوذ برای ورود مواد غذایی جهت تجمع باکتری های مضر وجود دارد؛ عدم نابودی باکتری های مضر دهانی در مرور زمان باعث پوسیدگی دندان می شود.

اشتباه نشود؛ پلاک های سرامیکی و کامپوزیتی لمینت دندان تنها نوعی پوشش خارجی برای افزایش زیبایی جلوه بصری کاربرد دارد. پوشش بیرونی روکش لمینت قادر به جلوگیری از ورود باکتری های مضر دهانی به پالپ دندان جهت شکل گیری پوسیدگی نیستند. تنها راهکار برای نابودی باکتری های مضر دهانی جهت پیشگیری از ایجاد مشکلات دندانی، رعایت بهداشت دهان و ویزیت های دوره ای است.
🔔 نوشته مرتبط: آیا لمینت باعث پوسیدگی دندان می شود؟
5. اتصال ضعیف
نخستین دلیل افتادن لمینت عدم تجربه کافی و تخصص بروز دندانپزشک متخصص ترمیم و زیبایی معالج انتخابی توسط متقاضیان است. اگر فرآیند تراش بافت های مینای متشکل دندان بیشتر از اندازه مورد نیاز شکل گیرد یا مراحل آماده سازی دندان های بیمار به درستی طی نشود، احتمال ریزش ونیرهای کامپوزیتی افزایش خواهد یافت. در صورت نازک شدن بیش از اندازه بافت های متشکل مینای دندان، نقطه اتصال بین لمینت و دندان به طور صحیح شکل نخواهد گرفت. با تضعیف قسمت عاج، قدرت کافی برای جذب چسب لمینت جهت نگهداری آن بر روی سطوح دندانی صورت نمی گیرد.

اگر دندانهای شما پیش از نصب لمینت به درستی آماده نشده باشند، یا تکنیک باندینگ درست نبوده باشد، لمینت های شما به خوبی به دندانهایتان متصل نخواهند شد و در نهایت به زودی آن ها خواهند افتاد. این کاملاً وظیفه دندانپزشک شما است تا اطمینان حاصل کند که لمینت ها به درستی چسبانده شده اند.
6. قدیمی بودن لمینت
یک دلیل افتادن لمینت دندان که می تواند محتمل باشد، فرسوده بودن یا قدیمی بودن آن است. بیشتر لمینت ها می توانند بین 15 تا 25 سال دوام داشته باشند و این طول عمر بسته به جنس لمینت ها، عادات و سبک زندگی شما و سایر موارد دیگر می تواند کمی بیشتر یا کمتر باشد.
اما در هر صورت با گذشت زمان، این امکان وجود دارد که باندینگ و اتصال لمینت دندان شما ضعیف شده و به آرامی لمینت ها از دندان جدا شوند. سن همچنین می تواند منجر به عقب نشینی استخوان و خط لثه شود که این خود باعث می شود لمینت ها به درستی در جای خود قرار نگیرند.
🔔 نوشته مرتبط: هزینه لمینت دندان چقدر است؟
7. برنامه غذایی نامناسب
مهم ترین دلیل افتادن لمینت دندان پیروی نکردن از برنامه غذایی نامناسب است. افراد دارای لمینت دندان باید مصرف مواد تغذیه ای با بافت سخت و تیز را برای خود ممنوع کنند. با گنجاندن مواد غذایی دارای بافت سفت و سخت در برنامه تغذیه ای روتین زندگی باعث تضعیف سطوح لمینت دندان می شود. جویدن این دسته از مواد غذایی، گاز زدن یخ یا خودکار، سهم زیادی در افتادن روکش های نصب شده لمینت بر روی دندان دارند.
همچنین اعمال نیروی کششی از سوی مواد تغذیه ای با بافت چسبناک باعث تضعیف اتصال بین لمینت و دندان می شود. به عنوان مثال، بیسکوییت تافی با مزه فوق العاده خود قادر به اعمال نیرو و فشار به لبه های ظریف متشکل سطوح لمینت (به دلیل کش آمدن هنگام فرآیند جویدن) است. به یاد داشته باشید که طول عمر لمینت دندان وابستگی شدیدی به برنامه غذایی روتین زندگی دارد.
8. بهداشت ضعیف دهان
لیست دلیل افتادن لمینت دندان با بهداشت ضعیف دهان قابل تکمیل است. باید بدانید که در صورت عدم تعهد کامل به اجرای نکات بهداشت دهان نظیر مسواک زدن منظم با خمیر دندان حاوی فلوراید، نخ دندان کشیدن و پاکیزه سازی فضای دهان به کمک شوینده مخصوص تجویزی از سوی دندانپزکش معالج، احتمال شکل گیری مشکل پوسیدگی دندان افزایش می یابد.

لازم است که بدانید شوینده های دارای ترکیبات ساینده با گذر زمان قادر به تغییر رنگ لمینت دندان هستند. همچنین استفاده از دهانشویه های حاوی الکل باعث وارد شدن آسیب به ثبات ساختار لمینت می شود. ترکیبات متشکل الکل قادر به تضعیف ثبات چسب بین لمینت و دندان خواهند شد. با توجه به آخرین تحقیقات صورت گرفته، پاکیزه سازی فضای دهان به کمک دهانشویه های دارای الکل در دراز مدت باعث کاهش سطح ضخامت پلاک های نصب شده می شود. شایان ذکر است که بهترین راهنمایی های خرید محصولات مناسب و ایده آل شستشوی دهان باید توسط دندانپزشک معالج ارائه شود.
9. استعمال دخانیات (جزو مهم ترین دلیل افتادن لمینت دندان)
نیکوتین درون ترکیبات شیمیایی دخانیات نه تنها باعث تضعیف بافت های چسبنده چسب مخصوص لمینت برای قرارگیری روی دندان می شود. اما سست شدن بافت های متشکل چسب لمینت دندان چگونه صورت می گیرد؟ گرمای ناشی از استعمال دخانیات باعث ایجاد فرآیند منقبض حرارتی، دود ناشی از استعمال دخانیات باعث شکل ایجاد فرآیند منبسط حرارتی و ایجاد اختلال در نحوه عملکرد صحیح بزاق برای پاکیزه سازی فضای دهان. بافت های متشکل دهانی برای برقراری ثبات چسبندگی چسب بین لمینت و دندان نیازمند اکسیژن هستند و دخانیات مانع از رسیدن اکسیژن کافی به آن ها می شود.
10. مصرف الکل
ترکیبات متشکل الکل دارای خاصیت حلال است؛ در صورت مصرف مکرر با گذر زمان قادر به ضعیف نمودن لایه های متشکل چسب مخصوص لمینت است. برای تثبیت قدرت چسبندگی چسب جهت قرارگیری لمینت بر روی دندان نیاز است سطح مرطوبیت فضای دهان حفظ شود. خشکی دهان باعث تضعیف سطح چسبندگی چسب لمینت دندان خواهد شد. خاصیت تحریک کنندگی سطح ترشح اسید دستگاه گوارش، در ساییدگی لایه های متشکل سطوح لمینت تاثیرگذار هستند. همچنین نمی توان از عدم تعادل PH ناشی از مصرف الکل برای از بین بردن مواد متشکل روکش دندان چشم پوشی نمود.
راهکارهای پیشنهادی پیشگیری از شکل گیری دلیل افتادن لمینت دندان
احتمال افتادگی خودمختارانه لمینت از روی سطوح دندانی غیرممکن است. تنها دلیل افتادن لمینت دندان عدم اجرای تمام دستورالعمل های تجویزی از سوی دندانپزکش معالج است. شایان ذکر است که باید همانند دندان های طبیعی از لمینت ها نگهداری کرد. قرارگیری عادت اجرای نکات مراقبتی از لمینت دندان در روتین زندگی، باعث افزایش مدت زمان ماندگاری باندینگ خواهد شد.

دندانپزشکی انتخاب کنید که دارای تجربه بالا باشد
اگر دندانپزشک انتخابی متخصص ترمیم و زیبایی دارای مهارت کافی برای نصب دقیق لمینت بر روی سطوح دندان نباشد، فرآیند درمان با گذر زمان دچار شکست خواهد شد. شیوه قرارگیری باندینگ بر روی دندان توسط دندانپزشک معالج تاثیر بسیار زیادی در کیفیت ماندگاری و سطح پایداری روند درمان دارد. هر گونه سهل انگاری از سوی دندانپزکش معالج باعث بالا رفتن احتمال کاهش طول عمر لمینت خواهد شد.
یک دندانپزشک حرفه ای و حاذق با ارزیابی دقیق وضعیت سلامت دندان و دهان بیمار، ابتدا به درمان مشکلات موجود می پردازد و سپس وارد مرحله نصب لمینت می شود. در انتخاب بهترین متخصص ترمیم و زیبایی دقت نمایید تا به ایده آل ترین نتیجه درمان دست بیابید.
درخواست راهنمایی از دندانپزشک معالج برای تهیه محصولات مناسب شستشوی دهان
همان طور که اشاره کردیم، موثرترین روش برای پیشگیری از بروز دلایل افتادن لمینت دندان، داشتن توجه کافی برای بهداشت دهان است. به هیچ عنوان نباید از دهانشویه های حاوی مواد ساینده و الکل استفاده کنید. همچنین تنها باید از مسواکی با برس های نرم برای پاکیزه سازی سطوح دندان استفاده نمایید. ممنوعیت کمک از خمیر دندان های حاوی مواد ساینده جهت نابودی لکه های رنگی روی سطوح لمینت را فراموش نکنید.

جلوگیری از وارد شدن صدمه به فضای دهان در فعالیت های سنگین ورزشی
افزایش آسیب پذیری دندان های قدامی دارای روکش لمینت در انجام تحرکات ورزشی سنگین وجود دارد. اگر در روتین زندگی مشغول انجام فعالیت های بدنی سنگین هستید یا با عادت دندان قروچه در حال دست و پنجه نرم کردن هستید، استفاده از نایت گارد برای پیشگیری از لب پر شدن لمینت دندان بسیار موثر است.
برنامه غذایی مناسبی داشته باشید
با یک رژیم غذایی مناسب، مغزی و تقویت کننده دندان ها می توان به پیشگیری از افتادن لمینت دندان کمک بسزایی کرد. لازم است محدودیت هایی را جهت مصرف مواد تغذیه ای حاوی قند لحاظ کنید. همچنین با پرهیز از مصرف بیش از اندازه کربوهیدرات، می توان به تقویت سطوح دندان و لمینت کمک کرد؛ چراکه باکتری های مضر بدنی با گذر زمان، قند و نشاسته دریافتی از مواد غذایی را به اسید تبدیل می کنند. هر چه اسید دستگاه گوار شافزایش یابد، احتمال افتادن لمینت دندان بیشتر خواهد شد.
درمان افتادن لمینت دندان در خانه چیست؟
در شرایطی که منجر به افتادن لمینت دندان شده است ممکن است اولین فکری که از سر افراد عبور کند این باشد که لمینت را مجددا به دندان متصل کنند. اما این اولین کاریست که نباید انجام داد زیرا کاری نادرست و غیر اصولی است.

صرف نظر از اینکه دلیل افتادن لمینت دندان شما چیست، اولین اقدام شما باید یافتن لمینت و قرار دادن آن در یک جای امن است. سپس شما میبایست با دکتر دندانپزشک خودتان تماس گرفته و در خصوص دلیل افتادن لمینت و وضعیت کنونی آن توضیحاتی ارائه دهید. ممکن است دندانپزشک برای شما در اولین فرصت یک جلسه ویزیت در نظر بگیرید.
درمان افتادن لمینت دندان در دندانپزشکی چیست؟
اتصال مجدد
اگر در طول جلسه ویزیت مشخص شود که دلیل افتادن لمینت دندان اتصال غیر اصولی و یا ناکامل بوده یا مشکلی در خصوص سمان (چسب لمینت) وجود داشته، تمام سمان چه آن مقدار که روی دندان تراش خورده است و چه چسب زیر لمینت را برداشته و بعد از تمیز کردن دندان و لمینت مجددا لمینت را نصب می کنند. اما دندانپزشک زیبایی اینبار اطمینان حاصل می کند که از مقدار کافی سمان استفاده کرده و روش اتصال هم اصولی خواهد بود.
درمان پوسیدگی و نصب لمینت
چنانچه علا یا دلیل افتادن لمینت دندان پوسیدگی ثانویه زیر آن باشد، اولین اقدام این است که دندان تمیز شده و سپس پوسیدگی را کاملا برطرف می کنند. بعد از آنکه دندان پوسیده با روش مناسب ترمیم شد، مجددا لمینت نصب می شود.
تعویض کامل لمینت
اگر علت افتادن لمینت دندان شما آسیب لمینت باشد لمینت باید تعویض شده و پس از ساخته شدن لمینت جدید، درمان مجدد برای شما انجام شود. همچنین به شما کمک می شود تا عاداتی مانند دندان قروچه که ممکن است باز هم دلیل افتادن لمینت دندان شما باشد را مدیریت کنید.

عوارض عدم توجه برای درمان و تعویض لمینت افتاده یا شکسته
11 عوارض لمینت دندان دچار شکستگی یا افتادگی عبارت اند از:
- جزو اصلی ترین دلایل تغییر رنگ لمینت دندان
- ظاهر نامناسب دیداری هنگام صحبت کردن یا خندیدن
- کاهش سطح اعتماد به نفس
- ارسال واکنش های حساسیتی به تغییرات دمایی
- فعال شدن واکنش های آلرژیک به مصرف برخی از مواد تغذیه ای
- گستردگی محدوده تجربه کردن پوسیدگی دندان
- بروز شکاف دندانی برای نفوذ باکتری های مضر دهانی
- شکل گیری عفونت دندانی
- ایجاد ناهماهنگی با سایر واحدهای دندانی
- افزایش احتمال جابجایی لمینت
- احتمال نیازمندی به سایر درمان های مشکلات دندانی نظیر عصب کشی یا پر کردن
پاسخ به سوالات رایج دلیل افتادن لمینت دندان
امکان اجرای فرآیند ترمیم سطوح آسیب دیده لمینت دندان وجود ندارد. تنها راهکار پزشکی برای درمان لمینت دچار آسیب دیدگی، تعویض آن است.
قرارگیری غیر اصولی لمینت بر روی سطح دندان، حضور مشکل پوسیدگی دندان، اعمال فشارهای دندانی بر روی یکدیگر، ضعیف بودن سطح بهداشت دهان، برنامه غذایی نامناسب، جویدن اجسام سخت، استعمال دخانیات و مصرف الکل.
با پیروی از تکام دستورالعمل های مراقبتی تجویزی از سوی دندانپزکش معالج، ماندگار لمینت دندان در بازه زمانی 10 الی 15 ساله قرار دارد.
اگر دندانپزشک معالج بعد از ارزیابی دقیق وضعیت سلامت باندینگ تشخیص دهد که شکستگی، ترک خوردگی یا لب پریدگی روی سطوح آن وجود ندارد، احتمال نصب مجدد پلاک افتاده وجود دارد.
بله، شوینده های متعددی دارای مواد ساینده و الکل هستند.
بله، اما به عنوان یک راهکار درمانی دائمی شناخته نمی شود.