15 تا عوارض ایمپلنت دندان را بشناسید (از رایج ترین تا نادر ترین ها 🌟)
فرآیند کاشت ایمپلنت دندان شامل یک جراحی نسبتا طولانی است بنابراین می تواند به صورت بالقوه شامل برخی عوارض باشد. البته انتخاب یک جراح یا متخصص ایمپلنت خوب قاعدتا شانس بروز عوارض ایمپلنت دندان را به شدت کاهش خواهد داد و حتی به صفر می رساند. اما در هر صورت افرادی که می خواهند دندان های غائب خود را با ایمپلنت جایگزین کنند باید از عوارض احتمالی کاشت ایمپلنت که ممکن است رخ دهد یا خیر آگاه باشند. با 15 عارضه احتمالی ایمپلنت ها در این مقاله آشنا شوید.
| عوارض رایج | زمان شکل گیری | نکات |
|---|---|---|
| احساس درد و ناراحتی | ایام ابتدایی | اثرگذاری برش های ایجاد شده بر روی بافت های متشکل لثه و جراحی انجام شده در ناحیه کاشت پروتز ثابت دندانی |
| ملتهب شدن | روز 1 تا 3 | بروز تورم در بافت های متشکل لثه و چهره (اگر تب داشتید حتما باید به دندانپزشک معالج برای ارزیابی دقیق تر مراجعه نمایید) |
| خونریزی غیر شدید | چندین روز ابتدایی | اثرگذاری دستکاری بافت های متشکل جای خالی دندان از دست رفته |
| شکل گیری عفونت | فاقد محدودیت زمانی | تجربه کردن احساس درد، مشاهده قرمز شدن نواحی اطراف ایمپلنت، خروج چرک از ناحیه پروتز ثابت دندانی و انتشار بوی بد دهان |
| شل شدن پروتز ثابت دندانی ایمپلنت | چندین هفته و ماه ها پس از نصب ایمپلنت | عدم جوش خوردگی پروتز ثابت دندانی ایمپلنت با ساختار استخوان فکی، کاشت غیراصولی و ناصحیح ایمپلنت |
| تحلیل لثه | طولانی مدت | شکل گیری پس روی یا حالت عقب نشینی بافت های متشکل لثه و مشاهده فرآیند خونریزی اطراف ایمپلنت |
| مشکلات سینوسی | هنگام کاشت پروتز یا پس از اتمام جراحی | تجربه کردن حالت بی حسی، قرارگیری در محدوده احساس درد غیرخفیف و اختلالات سینوسی |
شایع ترین عوارض ایمپلنت دندان چیست؟
افراد بعد از کاشت ایمپلنت دندان معمولا با مشکلاتی مواجه می شوند که این ناراحتی ها عوارض ایمپلنت دندان نام دارد . این عارضه ها شامل عفونت ایمپلنت ، جا به جا شدن پیچ ایمپلنت ، درد و تورم و مشکلاتی از این قبیل هستند. البته باید توجه داشت که بسیاری از این عوارض به وضعیت سلامت فک و دندان بیمار نیز بستگی دارد. در ادامه شما را با برخی از این عارضه ها که پس از کاشت ایمپلنت، به صورت کوتاه مدت و بلند مدت نمایان می شود آشنا می کنیم.
1. بروز عفونت
عفونت یک عارضه بالقوه است که می تواند پس از جراحی ایمپلنت دندان مانند هر روش جراحی دیگری رخ دهد. در طول عمل کاشت، لثه ها و بافت استخوانی باز می شوند تا امکان قرار دادن ایمپلنت فراهم شود که می تواند مسیری برای ورود باکتری ها به بدن ایجاد کند و باعث عفونت شود.
برای به حداقل رساندن خطر عفونت به عنوان یکی از محتمل ترین عوارض ایمپلنت دندان، دندانپزشک اقداماتی را برای حفظ محیط استریل در طول عمل انجام می دهد و آنتی بیوتیک ها را برای جلوگیری از عفونت باکتریایی تجویز می کند. او همچنین ممکن است دستورالعمل هایی را برای مراقبت از محل ایمپلنت پس از جراحی به شما ارائه دهد. برخی از این دستورالعمل ها شامل شستشوی دهان با دهانشویه ضدباکتریایی و پرهیز از مصرف برخی غذاها و فعالیت ها برای مدتی بعد از عمل هستند.

با این حال، با وجود این اقدامات احتیاطی، عفونت همچنان ممکن است رخ دهد. علائم عفونت بعد از جراحی ایمپلنت ممکن است شامل درد، تورم، قرمزی، گرما یا ترشح چرک از محل ایمپلنت باشد. اگر هر یک از این علائم را تجربه کردید، مهم است که در اسرع وقت با دندانپزشک یا جراح دهان خود تماس بگیرید. آنها می توانند وضعیت ایمپلنت را ارزیابی کنند و آنتی بیوتیک های اضافی یا سایر درمان ها را در صورت نیاز برای رفع عفونت تجویز کنند.
2. احساس درد بعد از ایمپلنت دندان
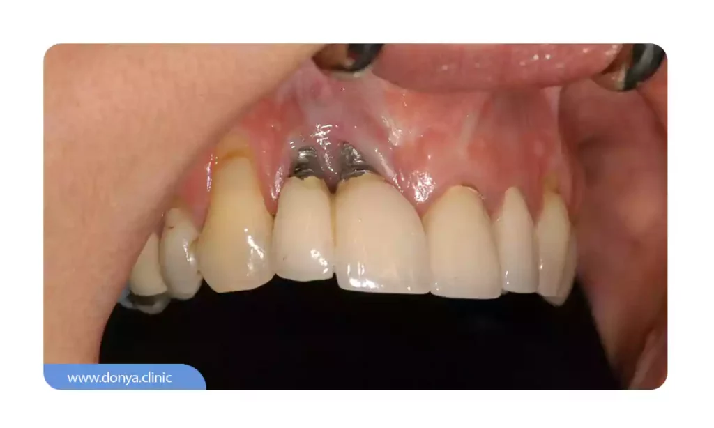
تجربه کردن احساس درد در ناحیه جای خالی دندان از دست رفته برای کاشت پروتز ثابت دندانی جزو صدرنشینان شایع ترین و رایج ترین عوارض ایمپلنت دندان قرار دارد. باید بدانید که این عارضه تا چندین روز ابتدایی درمان ادامه دارد و کاملا طبیعی است. درد بروز یافته ناشی از برش های ایجاد شده بر روی لایه های متشکل لثه و اجرای اقدامات لازم در ساختار استخوان فک برای قرارگیری پروتز ثابت دندانی ایمپلنت است.

دندانپزشک متخصص ترمیم و زیبایی در چنین شرایطی با تجویز مسکن قوی برای درد ایمپلنت و ارائه دستورالعمل های مراقبتی و بهداشتی به تسکین احساس ناراحتی و درد کمک بسزایی می کند. به یاد داشته باشید که مدت زمان احساس درد و ناراحتی نباید بیشتر از 5 روز ادامه یابد؛ در چنین شرایطی برای جلوگیری از شکل گیری عوارض جدی تر باید سریعا به دندانپزشک معالج خود مراجعه نمایید.
3. مشاهده تورم در لثه و نواحی از چهره بعد از کاشت ایمپلنت
بروز تورم از سوی بدن برای دستکارهای انجام شده در ساختار استخوان فکی و بافت های متشکل لثه جهت تثبیت موقعیت مکانی پروتز ثابت دندانی ایمپلنت امری کاملا طبیعی است که تا 2 روز پس از اجرای عملیات کاشت ایمپلنت به بیشترین حالت ممکن دست می یابد. لازم است تا بدانید که تورم شکل گرفته قادر است از بافت های متشکل لثه شروع به نمایان شدن کند و تا لایه های پوست گونه و نواحی مجاور چشم ها ادامه دار باشد.

جامعه متخصصان ایمپلنت دندان توصیه می کنند در چنین شرایطی باید در ساعات اولیه این عارضه از خاصیت بی حس سازی و کاهش جریان خون کمپرس سرد بهره مند شوید و سپس با استفاده کمپرس گرم بسیار ملایم به خون رسانی مجدد، خروج چرک ها و کم کردن سطح التهاب کمک کنید. البته به یاد داشته باشید که اگر تورم به همراه احساس درد غیرخفیف و بالا رفتن تب از سطح نرمال و طبیعی نمایان شود، نیازمند مداخله پزشک متخصص است.
4. مشاهده خون ریزی غیرشدید پس از کاشت ایمپلنت
شاید برای شما هم سوالی مبنی بر “علت خونریزی اطراف ایمپلنت چیست؟” پیش آید. در قدم اول باید بدانید که خارج شدن خون از نواحی مجاور پروتز ثابت دندانی تا چند روز ابتدایی بعد از جراحی ایمپلنت امری غیرطبیعی نیست؛ چراکه مناطق جای خالی دندان از دست رفته توسط دندانپزشک معالج شما دستکاری شده است و نیازمند زمان برای ترمیم و التیام هستند.
مشاوره رایگان ایمپلنت دندان
باید بدانید که دندانپزشک در چنین شرایطی به شما توصیه می کند که گاز استریل را بر روی ناحیه جراحی قرار دهید و آن را با دندان های رو به رو گاز بگیرید تا نیرو و فشار اعمالی باعث بسته شدن مسیر خونریزی شود. همچنین یک سری نکات دستورالعمل های مراقبتی از سوی وی تجویز خواهد شد تا بهبودی بافت های دچار صدمه دیدگی سریع تر صورت گیرد. مشاهده خون ریزی پس از کاشت ایمپلنت تا زمانی جزو رایج ترین عوارض ایمپلنت دندان قرار دارد که طولانی مدت نباشد؛ بی توجهی به این عارضه یعنی شکل گیری صدمات جدی بافتی و بروز اختلالاتی در اجرای عملیات انعقاد خون که نیازمند بررسی فوری دندانپزشک دارد.
5. شل شدن کوتاه مدت و گذرا پایه پروتز ثابت دندانی ایمپلنت
اگر متوجه شل شدگی پایه ایمپلنت دندان در ایام ابتدایی درمان شدید، اصلا نگران نباشید؛ ساختار استخوان فکی برای پذیرفتن قسمت پایه پروتز ثابت دندانی نیازمند زمان است تا فرآیند جوش خوردگی به بهترین شکل ممکن صورت گیرد. اما به یاد داشته باشید که اگر شل شدگی پروتز ثابت دندانی ایمپلنت با شکل گیری احساس درد، ایجاد التهاب یا بروز عفونت صورت گیرد، احتمالا ساختار استخوان فکی جنس تیتانیومی پایه ایمپلنت را پس زده است یا عملیات کاشت پروتز دارای نواقصی است که باید سریعا به دندانپزشک جهت رفع مشکل اقدام کرد.

6. شکل گیری التهاب و حساس شدن بافت های مجاور ایمپلنت
فعال شدن سیگنال های حساسیتی بافت های مجاور ایمپلنت و بروز حالت التهاب در نواحی اطراف پروتز ثابت دندانی یکی دیگر از رایج ترین و شایع ترین عوارض ایمپلنت دندان است. به یاد داشته باشید که دلایل شکل گیری این عارضه احتمالی عبارت اند از:
- بهداشت ضعیف دهان و دندان
- اعمال نیرویی بیش از اندازه تحمل پروتز ثابت دندانی ایمپلنت
- ارسال سیگنال های واکنشی از سوی بدن به جسم ناشناخته
باید بدانید که علائم ملتهب شدن و بالا رفتن سطح حساسیت بافت های مجاور ایمپلنت با شکل گیری نشانه هایی نظیر مشاهده خونریزی لثه، بروز تورم و قرمز شدن رنگ بافت های لثه یا خروج بوی نامطلوب از دهان همراه است. برای جلوگیری و پیشگیری از شکل گیری چنین عارضه ای باید سطح رعایت بهداشت دهان و دندان را بالا ببرید؛ پاکیزه سازی فضای دهان با مسواک مخصوص ایمپلنت (3 مرتبه در طول روز) و کشیدن نخ دندان مخصوص به صورت منظم (1 مرتبه در طول روز). شایان ذکر است که ویزیت های دوره ای منظم را نباید فراموش کنید؛ چراکه دندانپزشک در جلسات معاینه و ویزیت قادر است تمامی مشکلات احتمالی در آینده را شناسایی کند.

نادرترین عوارض ایمپلنت دندان چیست؟
شواهد و تجربیات افرادی که جایگزین دندان از دست رفته را با تکنیک کاشت ایمپلنت انجام داده اند نشان می دهد که در برخی موارد امکان دارد عوارض ایمپلنت دندان به صورت پیشرفته تر نمایان شود که نادر است. شایان ذکر است که شرایط فردی هر بیمار، میزان وضعیت سلامت استخوان ساختار فکین و واکنش های ارسالی حساسیتی از سوی بیماران مختلف، متفاوت است. خالی از لطف نیست که درک روشنی از این عارضه های احتمالی ایمپلنت دندان داشته باشید تا در صورت مشاهده بدون فوت وقت به دندانپزشک معالج مراجعه نمایید تا اقدامات درمانی لازم انجام شود:
- اعمال صدمه دیدگی به اعصاب؛
- بروز حالت بی حسی در بافت های متشکل لب ها؛
- گزگز کردن سطوم متشکل زبان و بافت های تشکیل دهنده لثه جای خالی دندان ایمپلنت شده؛
- افتادن ایمپلنت در سینوس فک فوقانی؛
- شکل گیری مشکلات سینوسی؛
- شکسته شدن پروتز ثابت دندانی ایمپلنت (اعمال نیرویی بیش از اندازه)؛
- پس زدن و نپذیرفتن پروتز ثابت دندانی ایمپلنت بوسیله بدن؛
- کاهش تراکم ساختار استخوان فکین نواحی اطراف پروتز ثابت دندانی ایمپلنت در طولانی مدت؛
1. شکستن ایمپلنت
شکست درمان تا زمانی که رخ ندهد نمی تواند جزء عوارض ایمپلنت دندان باشد با این حال اگر به هر دلیلی نتیجه درمان آنطور که پیش بینی می شود حاصل نشود، عوارض زیادی رخ خواهد داد. در موارد نادر، ایمپلنت ممکن است به درخونستی با استخوان فک ادغام نشود که این مساله می تواند باعث لق شدن ایمپلنت یا حتی افتادن آن شود. این اتفاق ممکن است به دلایل مختلفی از جمله موارد زیر رخ دهد:
- ناکافی بودن تراکم استخوان
- عفونت
- وارد شدن ضربه به صورت
- بارگزاری پروتز غیراستاندارد قبل از جوش خوردن ایمپلنت به فک
- کاشت ایمپلنت ضعیف

شایان ذکر است که ایمپلنت های دندانی دارای میزان موفقیت بسیار بالایی هستند و در برخی مطالعات میزان موفقیت آن تا 98 درصد گزارش شده است. با این حال، موفقیت ایمپلنت به عوامل مختلفی از جمله سلامت کلی بیمار، عادات بهداشت دهان و دندان و مهارت و تجربه دندانپزشک یا جراح دهان که این عمل را انجام می دهد بستگی دارد.
2. آسیب عصبی
یکی دیگر از عوارض ایمپلنت دندان می تواند آسیب عصبی باشد. در واقع احتمال بروز این عارضه بسیار نادر است ولی می تواند در برخی مواقع رخ دهد. در طی جراحی ایمپلنت دندان، خطر بسیار جزئی در خصوص آسیب رسیدن به اعصاب مجاور وجود دارد که می تواند باعث بی حسی، سوزن سوزن شدن یا درد در دهان، چانه یا لب ها شود. عصبی که بیشتر در حین جراحی ایمپلنت تحت تاثیر قرار می گیرند، عصب آلوئولار تحتانی است که در نزدیکی استخوان فک پایین قرار دارد و ممکن است در حین کاشت ایمپلنت روی فک پایین آسیب ببینند.

اگر عصب آلوئولار تحتانی در حین جراحی ایمپلنت آسیب ببیند، می تواند باعث بی حسی یا گزگز در لب پایین، چانه و زبان شود که بسته به شدت آسیب می تواند موقت یا دائمی باشد. در برخی موارد، بیمار ممکن است درد یا ناراحتی را در ناحیه آسیب دیده نیز تجربه کند.
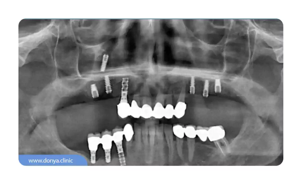
3. مشکلات سینوسی
عفونت سینوس می تواند یکی از عوارض ایمپلنت دندان باشد که در صورت بروز خطرناک خواهد بود. هنگامی که ایمپلنت در فک بالا قرار می گیرد، بسیار مهم است که به دیواره سینوسی که درست بالای استخوان فک بالا قرار دارد، آسیب نزند. برای درک بهتر، باید بدانید که حفره سینوس فضایی پر از هوا است که با یک دیواره و غشاء پوشانده شده است و هنگامی که ایمپلنت به داخل این فضا وارد شود یا آسیبی به آن بزند، باعث تحریک یا آسیب به غشاء شده و منجر به مشکلات سینوسی مانند احتقان، فشار یا درد شود.
اگر ایمپلنت خیلی نزدیک به حفره سینوس قرار گیرد یا وارد آن شود، می تواند خطر عفونت سینوس را نیز افزایش دهد زیرا هر باکتری که وارد محل کاشت می شود می تواند به طور بالقوه به حفره سینوسی نیز گسترش یابد و قطعا در این شرایط عفونت سینوس نیز رخ می دهد.

برای جلوگیری از بروز این مشکلات، دندانپزشک یا متخصص ایمپلنت شما قبل از قرار دادن ایمپلنت، آناتومی فک و سینوس را به دقت ارزیابی می کند. آنها ممکن است از تکنیک های تصویربرداری مانند اشعه ایکس یا سی تی اسکن برای تعیین بهترین محل کاشت ایمپلنت و اطمینان از بیرون زدگی آن به داخل حفره سینوس استفاده کنند.
اگر علائم زیر را مشاهده و تجربه کردید حتما سریعا به دندانپزشک مراجعه نمایید:
- تجربه کردن احساس درد، فعال شدن واکنش های حساسیتی و شکل گیری تورم در نواحی مجاور گونه ها، قسمت پیشانی یا چشم ها
- مشاهده خروج ترشحات سبز یا زرد رنگ از مجرای تنفسی بینی
- پر شدن مجرای بینی (اصطلاحا کیپ شدگی)
- کم شدن سطح قدرت حس بویایی
- شکل گیری دندان درد
- خروج بوی نامطلوب از دهان
- تب کردن
- بروز حالت سردرد سینوسی
4. تحلیل لثه
تحلیل لثه یک عوارض ایمپلنت دندان است که البته بیشتر به دلیل عدم رعایت بهداشت دهان و دندان رخ می دهد. در صورت بروز این مشکل، مهم است که در اسرع وقت برای درمان به دندانپزشک مراجعه شود تا از عوارض بعدی جلوگیری شود.

5. واکنش آلرژیک
واکنش آلرژیک و حساسیت به عنوان آخرین مورد از عوارض ایمپلنت دندان نیز چندان شایع نیست. درواقع بروز واکنش های آلرژیک به مواد ایمپلنت دندان نادر است، اما ممکن است در برخی افراد رخ دهد. رایج ترین ماده ای که برای ایمپلنت های دندانی استفاده می شود، تیتانیوم است که به دلیل زیست سازگاری و قابلیت ترکیب شدن با بافت استخوانی شناخته شده است. با این حال، برخی از افراد ممکن است واکنش آلرژیک به تیتانیوم یا سایر مواد مورد استفاده در ایمپلنت مانند نیکل داشته باشند.
علائم واکنش آلرژیک به مواد ایمپلنت دندان ممکن است شامل موارد زیر باشد:
- خارش یا بثورات پوستی در اطراف محل ایمپلنت
- تورم یا التهاب در اطراف محل ایمپلنت
- درد یا ناراحتی در اطراف محل ایمپلنت
- مشکل در تنفس یا خس خس سینه
عوارض ایمپلنت دندان در دراز مدت چیست؟
لازم است تا بدانید که تعداد معدودی از عوارض ایمپلنت دندان ممکن است روند ادامه دار بودن را در دراز مدت سپری کنند. 2 عارضه احتمالی ایمپلنت دندان که به صورت طولانی مدت ظاهر می شوند شامل موارد فهرست بخش ذیل هستند:
- تحلیل لثه و پری ایمپلنتیت: در صورت عدم توجه به درمان تحلیل لثه، بیماری پری ایمپلنتیت منجبر به شکل گیری از دست دادن تراکم استخوان فکی شده و دیگر حمایت کننده ای برای تثبیت موقعیت مکانی پروتز ثابت دندانی مذکور وجود نخواهد داشت. منشا شکل گیری پری ایمپلنتیت در التهاب مزمن طولانی مدت ناحیه جای خالی دندان ایمپلنت شده خلاصه می شود. طبق آخرین تحقیقات صورت گرفته بر روی بیماران دارای ایمپلنت، برخی از بیماران، این مورد از نادرترین عوارض ایمپلنت دندان را 5 سال پس از کاشت پروتز ثابت دندانی مذکور تجربه کرده اند. اگر خونریزی و تورم بافت های متشکل نواحی نزدیک به پروتز ثابت دندانی را مشاهده کردید، احتمالا این عارضه در حال پیشرفت است.
- پس زدن و نپذیرفتن ایمپلنت توسط بدن: با توجه به اطلاعات آخرین تحقیقات صورت گرفته توسط محققان جامعه دندانپزشکی ترمیمی و زیبایی، بدن برخی از بیماران نسبت به فلز تیتانیوم پایه ایمپلنت واکنش های آلرژیک نشان می دهند و آن را پس می زنند. دندانپزشکان متخصص ترمیم و زیبایی قبل از اجرای جراحی کاشت ایمپلنت از بیماران درخواست می کند تا آزمایش تشخیص حساسیت فلزی را برای پیشگیری و جلوگیری از این عارضه انجام بدهند.

برای پیش گیری از عوارض ایمپلنت دندان چه باید کرد؟
برای جلوگیری از عوارض ایمپلنت دندان لازم است تا عادات غذایی سالمی داشته باشید و از مصرف الکل و دخانیات که موجب عفونت و همچنین جوش نخوردن ایمپلنت می شود بپرهیزید. در نظر داشته باشید که انتخاب پزشک و متخصص ایمپلنت با تجربه و ماهر نیز در کاهش عوارض مربوطه نیز اهمیت فراوانی خواهد داشت. دنیا کلینیک با داشتن پزشکان مجرب همراه شما خواهد بود.
سخن پایانی
اگر هر یک از این علائم را که در این مقاله گفته شد، بعد از کاشت ایمپلنت دندان تجربه کردید، مهم است که در اسرع وقت با دندانپزشک یا جراح دهان خود تماس بگیرید. آنها می توانند ایمپلنت را ارزیابی کنند و تشخیص دهند که آیا یک واکنش آلرژیک علت علائم است یا خیر. در برخی موارد، ممکن است از آزمایش پوست یا آزمایش خون برای تایید وجود آلرژی استفاده شود.
به مقالات زیر سر بزنید:
- آمادگی های قبل از ایمپلنت چیست؟
- دلایل جوش نخوردن ایمپلنت چیست ؟
- چه کسانی نیاز به پیوند استخوان دندان برای ایمپلنت دارند؟
- ایمپلنت فوری چیست؟
- تغذیه بعد از ایمپلنت دندان باید چگونه باشد؟
- توصیه های مراقبتی ایمپلنت برای افراد سیگاری
- هزینه ایمپلنت دندان با بیمه چگونه است؟
- با مزایا و معایب ایمپلنت آشنا شوید
- راهکاری بند آوردن خونریزی بعد ایمپلنت
پرسش های متداول
لازم است تا ضمن رعایت سبک غذایی سالم به یک دندانپزشک ماهر نیز مراجعه نمائید.
این مورد خیلی نادر رخ می دهد اما بیماری های لثه می تواند این موضوع را تشدید کند
خیر ، با توجه به نوع و جنس آن طول عمر متفاوتی دارند