کیست دندان چیست و چطور با این 4 روش درمان می شود
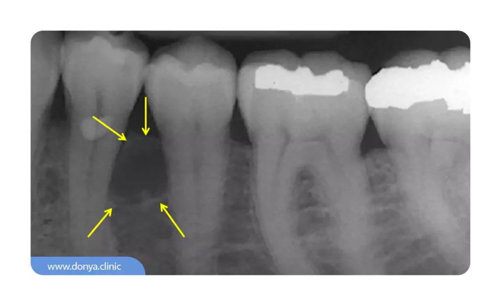
کیست دندان (Tooth cysts) کیسه ای پر از مایع است که در استخوان فک یا بافت های نرم اطراف دندان ایجاد می شود. این کیست ها می توانند به دلیل عوامل مختلفی ایجاد شوند و ممکن است برای جلوگیری از عوارض بیشتر نیاز به درمان سریع داشته باشند. به صورت تخصصی تر، کیست یک ساختار کیسه مانند بسته است که حاوی مایع، هوا یا مواد دیگر است. این ساختار زمانی شکل می گیرد که روند طبیعی تقسیم و رشد سلولی مختل شود و منجر به تجمع مایع و تشکیل کیسه شود.
| موضوع | توضیحات |
|---|---|
| انواع | ۱. کیست پریآپیکال (رادیکولار): ناشی از عفونت ریشه مرده دندان ۲. کیست دنتیجروس (فولیکولار): اطراف دندان های نهفته (مانند دندان عقل) ۳. کیست ادنتوژنیک: مرتبط با بافت های دندانی ۴. کیست پریودنتال: ناشی از بیماری لثه |
| علل بروز | عفونت های دندانی، پوسیدگی شدید، ضربه به دندان، نهفتگی دندان، عوامل ژنتیکی و اختلالات رشدی. |
| علائم | تورم بدون درد، حساسیت، تغییر رنگ دندان، جابجایی دندان ها، در موارد شدید درد و عفونت. |
| درمان | تخلیه کیست، جراحی (کیستکتومی یا کیستوتومی)، درمان ریشه دندان، کشیدن دندان در صورت نیاز، آنتی بیوتیک در موارد عفونی. |
| عوارض | عفونت، آسیب به استخوان فک، جابجایی دندان ها، از دست دادن دندان، احتمال تبدیل به ضایعات جدی تر. |
| پیشگیری | رعایت بهداشت دهان و دندان، مراجعه منظم به دندانپزشک، درمان سریع پوسیدگی و عفونت های دندانی. |
| تفاوت کیست با آبسه | کیست معمولا بدون درد و بهآرامی رشد می کند، درحالیکه آبسه دندان همراه با درد شدید، التهاب و عفونت حاد است. |
با انواع کیست دندان بیشتر آشنا شوید!
کیست دندان می تواند به اشکال مختلف ظاهر شود که هر کدام ویژگی ها و پیامدهای خاص خود را دارند. شایع ترین انواع کیست ها عبارتند از:
کیست های رادیکولار (Radicular Cysts)
کیست های رادیکولار که به عنوان کیست پری آپیکال نیز شناخته می شوند، شایع ترین نوع کیست دندان هستند. آنها در نتیجه عفونت یا التهاب در پالپ دندان ایجاد می شوند که معمولاً در اثر پوسیدگی دندان یا ترومای درمان نشده ایجاد می شود.

کیست های دندانی (Dentigerous Cysts)
کیستهای دنتیژروس که کیستهای فولیکولی نیز نامیده میشوند، در اطراف تاج دندانهای بیرون نیامده تشکیل میشوند. آنها زمانی رخ می دهند که رشد دندان با مشکل مواجه شود و منجر به تجمع مایع بین دندان و بافت اطراف آن شود.
کراتوسیست های ادنتوژنیک (Odontogenic Keratocysts)
کراتوسیست های ادنتوژنیک انواع نادری از کیست دندان هستند که ممکن است بسیار تهاجمی تر از نمونه های دیگر باشند. آنها به سرعت رشد می کنند و شانس بیشتری برای عود دارند. این کیست ها معمولاً در استخوان فک یافت می شوند و در صورت عدم درمان می توانند آسیب قابل توجهی به بار آورند.
کیست های رزیجوال (Residual Cysts)
کیست های رزیجوال نوعی کیست هستند که پس از کشیدن دندان باقی می مانند. آنها در نتیجه حذف ناقص کیست اصلی یا وجود بافت باقیمانده ای هستند که به رشد خود ادامه می دهند.
🔥 بیشتر بدانید : 5 آنتی بیوتیک قوی برای عفونت دندان

علل و عوامل خطر بروز انواع کیست های دندانی چه هستند؟
کیست دندان می تواند به دلایل مختلف و عوامل خطرها متنوع ایجاد شود. برخی از عوامل مشترکی که در شکل گیری این ساختارهای دردسرساز نقش دارند عبارتند از:
- پوسیدگی دندان درمان نشده
- وارد شدن ضربه به صورت یا آسیب دیدن دندان
- عفونت در پالپ دندان
- دندانهای نهفته یا بیرون نیامده
- استعداد ژنتیکی
مقاله پیشنهادی : معرفی 11 نوع زخم دهان که باید آن را بشناسید
علائم کیست دندان چیست؟
شناسایی علائم کیست دندان برای تشخیص و درمان به موقع بسیار مهم است. برخی از علائم رایج که ممکن است نشان دهنده وجود انواع کیست باشد عبارتند از:
- تورم و التهاب در ناحیه آسیب دیده
- درد یا ناراحتی (به ویژه هنگام جویدن)
- حساسیت به دمای گرم یا سرد
- تغییر رنگ یا تیره شدن دندان
- تشکیل آبسه دندان

اگر مشکوک به داشتن کیست هستید، بسیار مهم است که توسط یک دندانپزشک متخصص و باتجربه تحت معاینه و بررسی کامل قرار بگیرید.
کیست دندان را چگونه درمان کنیم؟
رویکرد درمان کیست دندان به عوامل مختلفی از جمله نوع، اندازه و محل آن و همچنین سلامت کلی دهان و دندان بیمار بستگی دارد. برخی از گزینه های رایج درمانی عبارتند از:

کشیدن دندان
اگر دندانی باعث ایجاد کیست شده به شدت آسیب دیده یا عفونی شده است، کشیدنش بهترین راه ممکن خواهد بود. این فرآیند شامل برداشتن دندان آسیب دیده همراه با کیست برای جلوگیری از عوارض بیشتر است.
کیسه سازی یا (Marsupialization)
کیسه سازی یک روش جراحی است که شامل ایجاد یک سوراخ در کیست برای تخلیه مایع و اجازه بهبود کیست از داخل به بیرون است. این روش اغلب برای کیست دندان بزرگتر یا آنهایی انجام می شود که باعث ناراحتی قابل توجهی می شوند.
انوکلئاسیون (Enucleation)
انوکلئاسیون یک روش جراحی است که در آن کل کیست، از جمله پوشش داخلی، برداشته می شود. این روش معمولاً برای کیست های کوچکتر یا زمانی که کیست خطر عود بیشتری دارد استفاده می شود.
درمان ریشه (عصب کشی دندان)
در برخی موارد، اگر کیست همراه با دندانی باشد که ریشه اش عفونی شده و از قضا می توان آن را نجات داد، درمان ریشه یا عصب کشی انجام می شود. درمان ریشه شامل برداشتن پالپ عفونی یا آسیب دیده از دندان و مهر و موم آن برای جلوگیری از برگشت عفونت است.

کیست دندان عقل
کیست دندان عقل یک حالت پاتولوژیک است که معمولا در اطراف دندان عقل نهفته ایجاد می شود. این کیست ها می توانند به دلایل مختلفی تشکیل شوند و ممکن است باعث مشکلاتی برای فرد شوند. در ادامه، به برخی از جزئیات مربوط به آن می پردازیم:
علائم کیست دندان عقل
علائم مرتبط با این کیست می تواند شامل ناراحتی، درد، تورم و در موارد حاد، از دست دادن دندان باشد.این علائم معمولا در افراد بین ۲۰ تا ۳۰ سال بیشتر دیده می شود.
خطرات کیست دندان عقل
در موارد نادر، عدم درمان کیست می تواند منجر به ایجاد تومورهایی شود که می توانند به سایر قسمت های بدن گسترش یابند. این تومورها معمولا خوشخیم هستند اما می توانند به سرعت رشد کنند و نیاز به درمان فوری دارند.
درمان کیست دندان عقل
درمان این کیست ها معمولا از طریق جراحی انجام می شود. در برخی موارد، ممکن است نیاز به برداشتن بافت استخوان و لثه باشد و در موارد حادتر، کشیدن دندان های مجاور نیز مورد نیاز است.
پیشگیری از کیست دندان عقل
برای پیشگیری از بروز کیست دندان عقل، دندانپزشکان معمولا توصیه می کنند که در ابتدای رشد دندان های عقل و در سنین نوجوانی، اقدام به جراحی دندان عقل نهفته کنید.

بهترین روش جراحی کیست دندان
باید بدانید که انتخاب بهترین روش جراحی کیست دندان نیازمند بررسی اندازه، نوع و موقعیت مکانی کیست توسط دندانپزشک دارد. شایان ذکر است که روش های مختلف جراحی کیست به منظور بازگردانی و حفظ وضعیت سلامت واحدهای دندانی و ساختار استخوان فکی صورت می گیرد. هیچ ممنوعیتی برای اجرای این عمل توسط جراح دندان عقل وجود ندارد. در ادامه قصد داریم روش های کیستکتومی (Cystectomy) و کیستوتومی (Cystotomy) را برای جراحی کیست کوچک و بزرگ بررسی کنیم:
| سوال | روش کیستکتومی | روش کیستوتومی |
|---|---|---|
| برای کیست های بزرگ؟ | ❌ | ✅ |
| برای کیست های کوچک؟ | ✅ | ❌ |
| تمام کیست برداشته میشه؟ | ✅ | ❌ |
| تمام محتویات خارج میشه؟ | ✅ | ✅ |
| دیوراه کیست باقی می ماند؟ | ❌ | ✅ |
| برای نواحی سطحی؟ | ✅ | ❌ |
| برای ساختارهای پیچیده و حساس؟ | ❌ | ✅ |
| مدت زمان بهبودی؟ | کمتر | بیشتر |
| عوارض بیشتر؟ | ❌ | ✅ |
روش کیستکتومی برای جراحی کیست دندان کوچک
اگر دندانپزشک تشخیص دهد که اندازه کیست نبستا کوچک است و هیچ آسیبی به ساختار استخوان فکین وارد نکرده است، روش جراحی کیستکتومی را در نظر می گیرد. کادر درمان دندانپزشکی در روش کیستکتومی، تمامی بافت های دچار صدمه دیدگی و لایه های نواحی مجاور کیست را از فضای دهان و استخوان فک خارج می کنند تا بتوانند از بازگشت مجددا آن جلوگیری نمایند. تمام دیواره کیست در روش کیستکتومی برداشته خواهد شد. روش کیستوتومی برای بهبودی ،حداقل 14 الی 28 روز زمان نیاز دارد. مزایا و معایب روش جراحی کیستکتومی عبارت اند از:
- احتمال بازگشت مجددا کیست را به شدت کاهش می دهد (نقطه قوت)
- اگر اندازه کیست ها کوچک باشد و بافت های نواحی مجاور آسیب ندیده باشند، می توان اجرا کرد (نقطه قوت)
- به عنوان درمان حتمی و دائمی کیست شناخته می شود (نقطه قوت)
- احتمال شکل گیری عفونت بسیار کم است (نقطه قوت)
- نیازمند اجرای دستورالعمل های مراقبتی تجویزی از سوی دندانپزشک برای دستیابی به نتایج موفقیت آمیز درمان (نقطه ضعف)
- بالا رفتن احتمال صدمه دیدگی بافت های مجاور ناحیه عمل شده (نقطه ضعف)
- نیازمند برش بیشتری است (نقطه ضعف)

روش کیستوتومی برای جراحی کیست دندان بزرگ
در روش کیستوتومی برای جراحی کیست دندان بدخیم، دندانپزشک با استفاده از تجهیزات مخصوص، یک راه نفوذ را به داخل کیست جهت استخراج محتویات درونش، از بافت های متشکل دیواره آن در فضای دهان و ساختار استخوان فک ایجاد می کند. باید بدانید که تمام بافت های متشکل دیواره کیست در جراحی کیستوتومی برداشته نخواهد شد.
دندانپزشکان زمانی از روش کیستوتومی استفاده می کنند که کیست هایی را با اندازه بزرگ شناسایی کنند و متوجه ساختار پیچیده آن شوند. مثلا اگر دندانپزشک تشخیص دهد که کیست در نواحی نزدیک اعصاب جای دارد یا در حال پیشرفت در دیگر نواحی حساس فضای دهان است، از روش کیستوتومی استفاده می کند. بخش باقی مانده جزئی از دیواره کیست، در مرور زمان، با اجرای دستورالعمل های مراقبتی و طی کردن روند بهبودی، به صورت خودکار جذب می شوند. روش کیستوتومی برای بهبودی ،حداقل 28 الی 42 روز زمان نیاز دارد. مزایا و معایب روش کیستوتومی عبارت اند از:
- اجرای فرآیند برای کیست هایی با اندازه بزرگ امکان پذیر است (نقطه قوت)
- نیازمند برش کمتری در مقایسه با روش کیستکتومی است (نقطه قوت)
- قادر است از بافت های حیاتی دهان مانند اعصاب دندانی صیانت کند (نقطه قوت)
- نیازمند مدت زمان بیشتری برای بهبودی است (نقطه ضعف)
- احتمال شکل گیری عفونت نبستا بیشتر است (نقطه ضعف)

به یاد داشته باشید که برخی مواقع ممکن است دندانپزشک ابتدا اندازه کیست را با روش کیستوتومی کاهش دهد و سپس با شیوه کیستکتومی، به درمان بیماری و استخراج کامل آن از فضای دهان و ساختار استخوان فک بپردازد.
آیا جراحی کیست دندان درد دارد؟
اگر دندانپزشک تشخیص دهد که فرد مبتلا به کیست نیازمند جراحی باشد، با تزریق داروی بی حسی به واحد دندانی هدف جهت عدم تجربه کردن کوچک ترین احساس دردی، فرآیند درمان را آغاز می کند. باید بدانید که اگر بیمار بعد از تزریق داروی بی حسی، همچنان احساس درد را داشته باشد، دندانپزشک جهت افزایش راحتی وی، از داروهایی با خواص آرام بخش و بیهوش کننده (با توجه به وضعیت بیمار انتخاب می شود) استفاده می کند.

به یاد داشته باشید که دندانپزشک با کمک تزریق داروی بی حسی موضعی، نمی گذارد بیمار کوچک ترین دردی را تجربه نماید. به یاد داشته باشید که در بسیاری از مواقع، با کمک داروهای تجویزی از سوی دندانپزشک، می توان درد پس از جراحی کیست را بهتر مدیریت نمود.
فیلم جراحی کیست ساده دندان در استخوان فک پایین (تحتانی)
اگر به دنبال فیلم جراحی کیست دندان های پایین جهت درک بهتر موضوع و آشنایی با فرآیند درمان این بیماری هستید، ویدئو بخش زیر را مشاهده نمایید:
مراحل جراحی کیست دندان چیست؟
عبارت “جراحی کیست چگونه انجام می شود” از سوالات پرتکرار و رایج متقاضیان مربوطه است. جراحی کیست دندان با تزریق داروی بی حسی کننده در بسیاری از مواقع صورت می گیرد؛ مگر آنکه بیمار درد بسیار زیادی را داشته باشد، که در چنین شرایطی دندانپزشک از داروهای آرامش بخش و بیهوش کننده استفاده می کند. مراحل جراحی کیست در 6 گام خلاصه می شود:
- تزریق داروی بی حسی موضعی: پیش از اجرای فرآیند عمل جراحی کیست، دندانپزشک با تزریق داروی بی حسی موضعی به بیمار در راستای عدم تجربه کوچک ترین احساس دردی حین جراحی کمک می کند.
- ایجاد برش هایی در بافت های متشکل لثه: دندانپزشک جهت دسترسی به کیست برای استخراج آن، نیازمند یک راه نفوذ است؛ دندانپزشک به کمک تیغ جراحی مخصوص برشی را در لایه های متشکل لثه ایجاد می کند تا مسیر دسترسی به کیست فراهم شود. اگر دسترسی به کیست فراهم نشود، ممکن است دندانپزشک با استخراج مقداری از ساختار استخوان فکی، مسیر نفوذ را ایجاد کند. موقعیت مکانی کیست در دهان و مقدار اندازه آن در تعیین ناحیه دقیق برای برش لثه تاثیرگذار است.
- استخراج کیست: جداسازی محتویات کیست + بافت های متشکل نواحی مجاور کیست را از ساختار استخوان فکی توسط دندانپزشک با کمک تجهیزات مخصوص صورت می گیرد.
- پاکیزه سازی شکاف: کادر درمان کلینیک دندانپزشکی در این مرحله به پاکیزه سازی شکاف ایجاد شده جهت دسترسی به کیست می پردازند. حفره نباید حاوی کوچک ترین اثری از بافت های متشکل کیست باشد.
- پیوند استخوان: اگر اندازه کیست بزرگ باشد و میزان آسیب دیدگی ساختار استخوان فکی بالا باشد، احتمالا کادر درمان کلینیک دندانپزشکی برای پر کردن شکاف دسترسی به کیست را باید با اجرای عملیات پیوند استخوان پر کنند.
- بستن شکاف با بخیه: برش زده شده بر روی بافت های متشکل لثه بوسیله بخیه مخصوص دندانپزشکی بسته خواهد شد.
اگر پس از اجرای جراحی کیست، کمی احساس درد خفیف را تجربه کردید و حالت تورم را در ناحیه عمل مشاهده کردید، اصلا نگران نشوید؛ این عوارض به دلیل دستکاری در ساختار فضای دهان کاملا طبیعی است و دندانپزشک با تجویز داروهای تسکین دهنده به تسریع بهبودی کمک می کند.

جراحی کیست دندان چقدر طول میکشد؟
جراحی کیست با در نظر گرفتن اندازه، میزان پیشرفت، موقعیت مکانی در فضای دهان، نزدیک شدن به اعصاب، سطح درگیر کردن ساختار استخوان فکی و شدت پیچیدگی جراحی، در بازه زمانی 30 الی 60 دقیقه خلاصه می شود.
عوارض کیست دندان چیست؟
در حالی که این کیست ها ممکن است در ابتدا یک مشکل دندانی جزئی به نظر برسند، اما اگر به موقع درمان نشوند، می توانند منجر به عوارض مختلفی شود. برخی از عوارض بالقوه انواع کیست دندان درمان نشده عبارتند از:
- گسترش عفونت به بافت های اطراف یا سایر دندان ها
- آسیب به استخوان فک یا دندان های مجاور
- تشکیل آبسه یا فیستول
- افزایش خطر از دست دادن دندان
درمان سریع کیست برای جلوگیری از این عوارض بالقوه بسیار مهم است و هیچگاه نباید بیش از چند روز درمان را به تعویق انداخت.
چطور از بروز این کیست ها جلوگیری کنیم؟
در حالی که نمی توان همیشه از بروز تمامی کیست های دندانی پیشگیری کرد، اما اقداماتی وجود دارد که می توانید برای به حداقل رساندن خطر بروز یا عود مجدد آن ها انجام دهید. برخی از این اقدامات عبارتند از:
- رعایت بهداشت بهداشت دهان و دندان: از جمله مسواک زدن منظم و نخ دندان کشیدن.
- انجام معاینات دوره ای و چکاپ دندانپزشکی
- درمان به موقع مشکلات دندانی مانند پوسیدگی دندان یا عفونت لثه
- کشیدن دندان های نهفته و نیمه نهفته
- انجام درمان ارتودنسی در خصوص برای دندان های نهفته و نیمه نهفته

آیا کیست دندان سفت است؟
بیماری کیست دندانی با بروز تورم در فک همراه است؛ فک بیمار در چنین شرایطی اصلا احساس درد را منتقل نمی کند. باید بدانید که بافت های تورم یافته از جنس سفتی برخوردار هستند. لازم است تا بدانید که ناهماهنگی بین واحدهای دندانی در فکین فوقانی و تحتانی (ناهنجاری مال اکلوژن) در چنین شرایطی مشاهده می شود. نگران نباشید؛ هیچ گونه تهدیدی از سمت کیست برای سایر واحدهای دندانی مجاور و اطراف اعمال نمی شود. صدای خروجی از کیست مانند دریافت سیگنال های نویزی از شکستن پوست تخم مرغ است.
آیا کیست دندان باعث سرطان می شود؟
تحقیقات انجام شده از سوی جامعه متخصصان دندانپزشکی ثابت کرده است که کیست عاملی مستقیم برای شکل گیری سرطان نیست. شایان ذکر است که اگر نسبت به درمان فوری کیست دندان اقدام نشود، میزان عفونت شکل گرفته و درد بروز یافته افزایش خواهد یافت، که این عوارض قادر هستند تاثیرات منفی جانبی را برای فرد به همراه آورند. البته باید بدانید که سلول های عفونت دندان و کیست شکل گرفته در قسمت ریشه دندانی دارای توانایی منفی زمینه سازی سلول های سرطانی را دارند.
تفاوت کیست با آبسه چیست؟
کیست و آبسه دو مشکل متفاوت دندانی هستند که می توانند علائم مشابهی داشته باشند، اما علل و درمان های متفاوتی دارند. در اینجا تفاوت های اصلی بین این دو را بررسی می کنیم:
- کیست ها معمولا به آرامی تشکیل می شوند و ممکن است بدون درد باشند، در حالی که آبسه ها به سرعت تشکیل شده و دردناک هستند.
- کیست ها حاوی مایع هستند و ممکن است به دلایل غیرعفونی تشکیل شوند، در حالی که آبسه ها حاوی چرک و ناشی از عفونت های باکتریایی هستند.
- درمان کیست ممکن است شامل جراحی برای برداشتن کیست باشد، در حالی که درمان آبسه معمولا شامل تخلیه چرک و استفاده از آنتی بیوتیک ها است.
این تفاوت ها نشان می دهند که در حالی که هر دو می توانند مشکلات جدی دندانی ایجاد کنند، رویکردهای درمانی متفاوتی برای هر یک لازم است. اگر شما علائمی مشابه با کیست یا آبسه دندان دارید، مهم است که به دندانپزشک مراجعه کنید تا تشخیص دقیق و درمان مناسب ارائه شود.
پاسخ به سوالات رایج در خصوص این مشکل
خیر، این کیست ها به ندرت خود به خود از بین می روند. آنها معمولاً برای از بین رفتن کامل نیاز به درمان حرفه ای دندانپزشکی دارند.
این کیست ها می توانند باعث درد یا ناراحتی شدید شوند. اگر عفونی یا بزرگ شده باشند درد و ناراحتی بیشتری ایجاد می کنند.
در صورت عدم درمان، این کیست ها به دلیل آسیبی که می توانند به بافت ها و استخوان اطراف واردقاعدتا به مرور زمان منجر به از دست دادن دندان می شود.
خیر، کیست دندان مسری نیست. آنها ناشی از عوامل خارجی نیستند بلکه مشکلات داخلی در نظر گرفته می شوند که امکان ندارد از شخصی به شخص دیگر منتقل شوند.
هرچند به میزان بسیار کم، اما احتمال عود این ساختارها پس از درمان شدن (به خصوص در مورد انواع تهاجمی تر مانند کراتوسیست های ادنتوژنیک) وجود دارد.
اگر احساس سردرد به صورت طولانی مدت و با حالت ضربان دار شکل بگیرد، می توان بیان نمود که از اصلی ترین نشانه های حضور و پیشرفت کیست در واحدهای دندانی رخ داده است.